WEB予約

メタルインレー

メタルインレーについて

メタルインレー

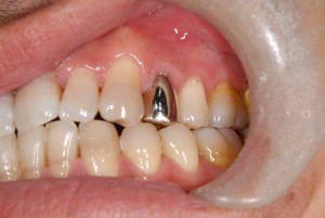
メタルインレーは、奥歯のつめ物として良く利用されます。 このメタルインレーは、銀色の金属インレーです。 多くの場合には、金銀パラジウム合金と言われる金属が使用されています。

このメタルインレーは、保険適用の治療法として利用されていますが、歯科医院によっては、保険外で治療を行う場合もあります。

メタルインレーを治療に使用する際は、保険適用の場合には治療費を安く抑えられるメリットがあります。 しかし他の治療法と同じように、保険外の治療にすると高額になり、治療費も増額します。

メタルインレーのメリット

メタルインレーのメリットとしては、金属なので強度が強い点がメリットとして挙げられます。 その為、奥歯の治療には適しており、よく使用されています。

またメタルインレーを使用する場合は、基本的には保険適用になるので、治療費が安価になり、治療費の総額も安く抑えられるメリットがあります。 このように強度や費用の面では、大きなメリットがありますが、メタルインレーにもデメリットがあります。

メタルインレーのデメリット

メタルインレーのデメリットとしては、金属なので目立ってしまい、見た目が悪いことがデメリットとして挙げられます。 またメタルインレーは、時間が経つと錆びて溶けだす可能性があると言われています。

このような場合には、金属アレルギーを引き起こす原因にもなるので注意が必要です。 他にも、歯や歯茎の変色を引き起こすとも言われているので、心配な場合には、治療前に歯科医師とよく相談しましょう。

メタルインレーの場合には、治療費が安く抑えられるメリットが大きく、その点においては魅力的です。 しかし見た目が気になるという人は、その後の使い心地や不具合なども含め、歯科医院で相談すると良いでしょう。

インレーの説明動画