WEB予約
こんにちは。
久我山駅前歯科・矯正歯科です。
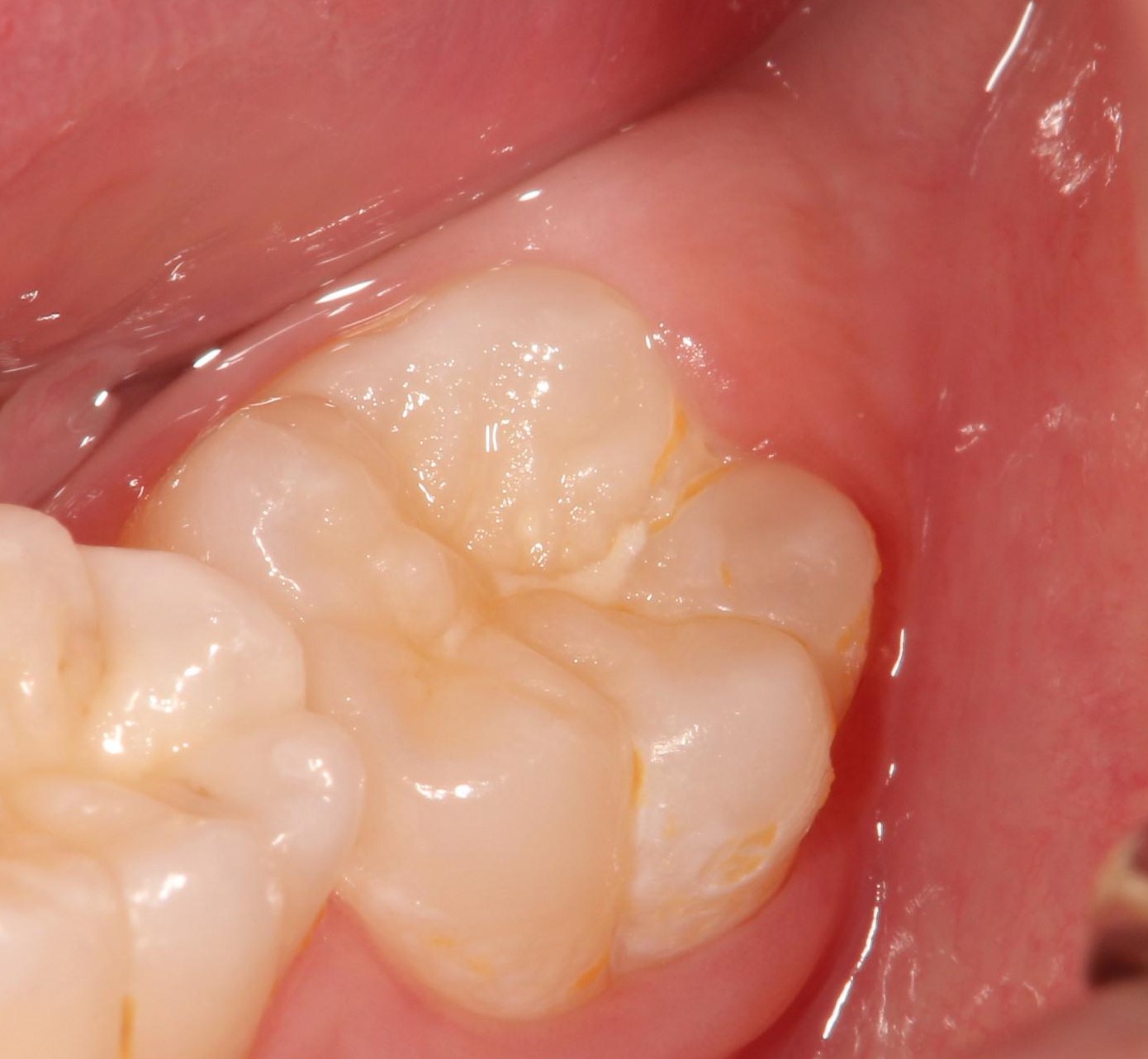
お子様の歯の表面、オレンジ色になっていませんか?
歯の仕上げ磨きをする際にチェックしてみてください。

こちらの写真をご覧ください。歯の表面についているオレンジ色の部分は、プラークといって日々の歯ブラシでは落ちない汚れです。このまま気づかずに放置しておくと、虫歯や歯肉炎になり治療が必要となります。実際に汚れを落として行くと虫歯が見つかるケースが多いです。
オレンジ色のプラークは2歳前後から見えることがありますので早めに歯医者さんへ検診クリーニングにいらしてください。特に奥歯は磨き残しが多く見られますね。

毎日の歯の正しい磨き方や生活習慣は重要になります。保育園または幼稚園、学校、習い事が終わった後のお時間のご予約もお取りできます。(最終受付16:30)
お父様お母様も毎日の仕上げ磨きはなかなか大変なことですよね。
3ヶ月から6ヶ月ごとの検診はこちらにお任せ頂き、虫歯のチェックハブラシでは落とせない汚れのクリーニングや歯ブラシの指導もさせて頂きます。
歯医者さんが初めてのお子様もたくさんいらっしゃいます。気になることがございましたら是非お問い合わせください。