WEB予約

ジルコニアセラミック

ジルコニアセラミックについて

ジルコニアセラミック

ジルコニアセラミッククラウンは、メタルボンドの内面の金属の代わりに、ジルコニアを使用したものです。

主原料である酸化ジルコニアはその驚くべき強度が注目され、産業界ではスペースシャトルの耐熱タイルやF1のブレーキシステムの部品に採用されてきました。

また、人体に対する安全性(生体親和性)もこの素材の特長で、整形外科の分野では人工関節の材料として活用され、象が踏んでも壊れない強さと、曲げに強いしなやかさがあります。

金属を一切使用しないため、金属が溶け出すことによる歯ぐきの変色、金属アレルギーなどの心配が無く、強度も強いので、奥歯やブリッジに使用することも可能です。

また、審美的にはオールセラミッククラウンに多少劣るもののかなり綺麗で、土台の金属(コア)の色が透けるのを防ぐ「マスキング効果」が優れているため、ケースによってはオールセラミックよりも審美的に仕上げることができます。

表面が滑らかで汚れにくく細菌の付着が少ない点も大きなメリットといえるでしょう。

ジルコニアセラミックの
メリット

  1. 天然歯に合わせた色調を再現できる
  2. 色が歯に似ているので見た目が良い。
  3. 光の透過性が天然歯と近いため、どんな場所でも自然に見える
  4. 年月が経っても変色しない
  5. 金属を一切使用しないので、金属が溶け出すことによる歯ぐきの変色、金属アレルギーなどの心配がない。
  6. 仮止めで様子を見ることができる。(オールセラミッククラウンは基本的に仮止めができません)
  7. ジルコニアは割れにくく、ほとんどの部位に使用できる。
  8. 鉄などの金属よりも硬く、世界で一番硬い鉱物である天然ダイヤモンドに次ぐモース硬度がある
  9. 従来のオールセラミック(60~80MP)と比較して10倍以上の硬さ(900~1,200MP)がある
  10. 金属のフレームを使わないため、歯ぐきとの境目に黒ずみ(ブラックライン)が出ない。 メタルボンドのように金属をフレームに使うと強度が高まりますが、時間が経つと歯と歯ぐきの間に黒ずみ(ブラックライン)が現れます。さらに光が当たった ときに歯の中心部分が薄暗く見え、特に前歯は天然歯との違いが目に見えてわかってしまいます。これを解決したのがジルコニアです。<金属を使わなくても優れ たな強度があり、素材そのものの光の透過性に優れているので、例えば晴れた空の下で思い切り笑っても天然歯との違いがわかりません。
  11. 人体によくなじみ、無害な成分である(生体親和性に優れている)金属を一切使用していない(メタルフリー)
  12. 金属の中でも安全といわれているチタンと比較して、細菌の付着を抑制できる

ジルコニアセラミックの
デメリット

  1. 色調はオールセラミッククラウンに劣る。
  2. 歯を削る量が比較的多い。
  3. 長期的予後については、まだはっきりとは分かっていない。
  4. 将来的に歯茎が下がって、歯と歯茎の境目が見えてくることがある。
  5. ジルコニア自体が割れることは非常にまれだが、ジルコニアを覆っているセラミック(陶器)の部分が割れることがある。
  6. 保険外の治療なので、値段が高い。

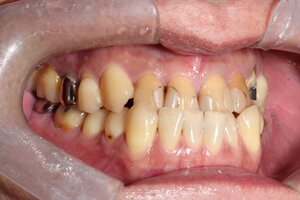
ジルコニアセラミッククラウン
の症例

現在の治療費と異なる場合がございます。最新の治療費は料金表をご確認ください。
術前 術後
術後 インプラントの症例

ジルコニアクラウン、インレーの症例

術前 術後
術後 インプラントの症例
年齢・性別 62歳・女性
主訴 銀歯を白くしたい
治療内容 左下5ジルコニアインレー
左下6ジルコニアクラウン
治療費 【合計】
115,500円(2022年6月時点)
【内訳】
ジルコニアインレー44,000円、
ファイバーコア16,500円、
ジルコニアクラウン55,000円
治療期間 2回
リスク・副作用 堅い素材なので噛みあう対合の歯を削ってしまったり、負担がかかることがある。
治療方針 右側もいずれ白いものにやり替え検討。

ジルコニアインレーの症例

術前 術後
術後 インレーの症例
年齢・性別 46歳・女性
主訴 銀歯を白くしたい
治療内容 左上4~5ジルコニアインレー
治療費 【合計】
88,000円(2023年3月時点)
【内訳】
ジルコニアインレー44,000円×2
治療期間 1ヶ月
リスク・副作用 治療後・セット後に麻酔が切れて一時的に冷たいものが凍みる可能性がある。
天然の歯に比べて硬いため噛み合わせに慣れるまで時間がかかる。場合によっては数回噛み合わせを調整する必要がある。
治療方針 銀歯を除去後虫歯に染まる液を塗布し、虫歯の取り残しを防いだ。
神経に達していないことを確認し型どりを行い装着した。
特記事項 ジルコニアインレーの色は3種類に限られている為色合わせが難しい。
担当者所見 適合よく装着することができた。
噛み合わせを確認し高さ調整を行い現在は問題なく噛めている。今後は定期検診に通院していただく。

ジルコニアボンド ブリッジの症例

術前 術後 途中経過
術後 インレーの症例 途中経過 インレーの症例
年齢・性別 34歳・男性
主訴 被せ物の縁が黒いのが気になる
治療内容 左上2~右上1ジルコニアボンドブリッジ
治療費 合計:346,500円
■内訳
ジルコニアブリッジ:11,0000円×3本
Tec(仮歯):5,500円×3本
(2023年5月現在)
治療期間 1ヶ月
リスク・副作用 強い衝撃で欠けたり割れたりするリスクがある。
治療方針 定期検診にて噛み合わせのチェックもおこなっています。
特記事項 保険の前歯の白いかぶせものは、中に金属を使用しているので、歯ぐきが着色したり、縁から金属の色が見えてきたりすることがあります。今回はブリッジに金属を使用していないので歯ぐきの縁が黒ずむことはありません。
担当者所見 ブリッジ周りも含めてきれいにお掃除が出来ているか、検診で確認していきます。

ジルコニアステインクラウンの症例

術前 途中経過 術後
途中経過 インレーの症例 術後 インレーの症例
術前 術後
術前 術後 インレーの症例
年齢・性別 46歳・男性
主訴 左上3目の被せ物が外れた・前歯の見た目が気になる
治療内容 右上12左上123
治療費 【合計】
715,000円
【内訳】
ファイバーコア 82,500円
仮歯 27,500円
ジルコニアステインクラウン 605,000円
(2024年5月現在)
治療期間 2ヶ月
リスク・副作用 衝撃が加わると被せ物が欠けてしまう可能性がある。
かみ合わせが変わったため、しばらくは違和感を感じる。
治療方針 右上12左上123は歯の神経を取る治療済みです。
そのため、歯の土台の向きを修正して、反対咬合を直したクラウンの作製を計画した。
反対咬合をなおすため、仮歯で見た目とかみ合わせを調整・確認後、最終的な被せ物の型どりを行なった。
特記事項 かみ合わせに負担がかからないようマウスピースを装着してもらう。
検診の際はかみ合わせを確認する。
担当者所見 ジルコニアステインクラウンは透明感がないため、1本のやり変えだと隣の天然歯と色味が合わないが、今回は5本のためジルコニアステインクラウンで作製できた。