WEB予約
歯の神経を取らない程のかみ合わせ部分に適します。
虫歯の部分を削り、インレーというつめ物を装着します。それ以上大きな虫歯の場合、オンレーやクラウンといったもっと大きなつめ物になります。インレーには様々な種類(材料)があり、価格帯も変わってきます。
| インレーの種類 | メリット | デメリット |
|---|---|---|
| セラミック インレー |
審美的に優れている。金属アレルギーの心配がない。 | 保険外のため高額。割れやすい。 |
| ゴールド インレー |
保険のつめ物に比べて金属アレルギーの可能性が少ない。柔らかいので適合性に優れている。歯を削る量が少ない。 | 保険外のため高額。見た目がゴールド色。 |
| 保険の インレー |
安価である。 | 見た目が金属色。金属が溶けだして二次カリエスや歯ぐきの変色の可能性がある。金属アレルギーを起こす可能性がある。 |
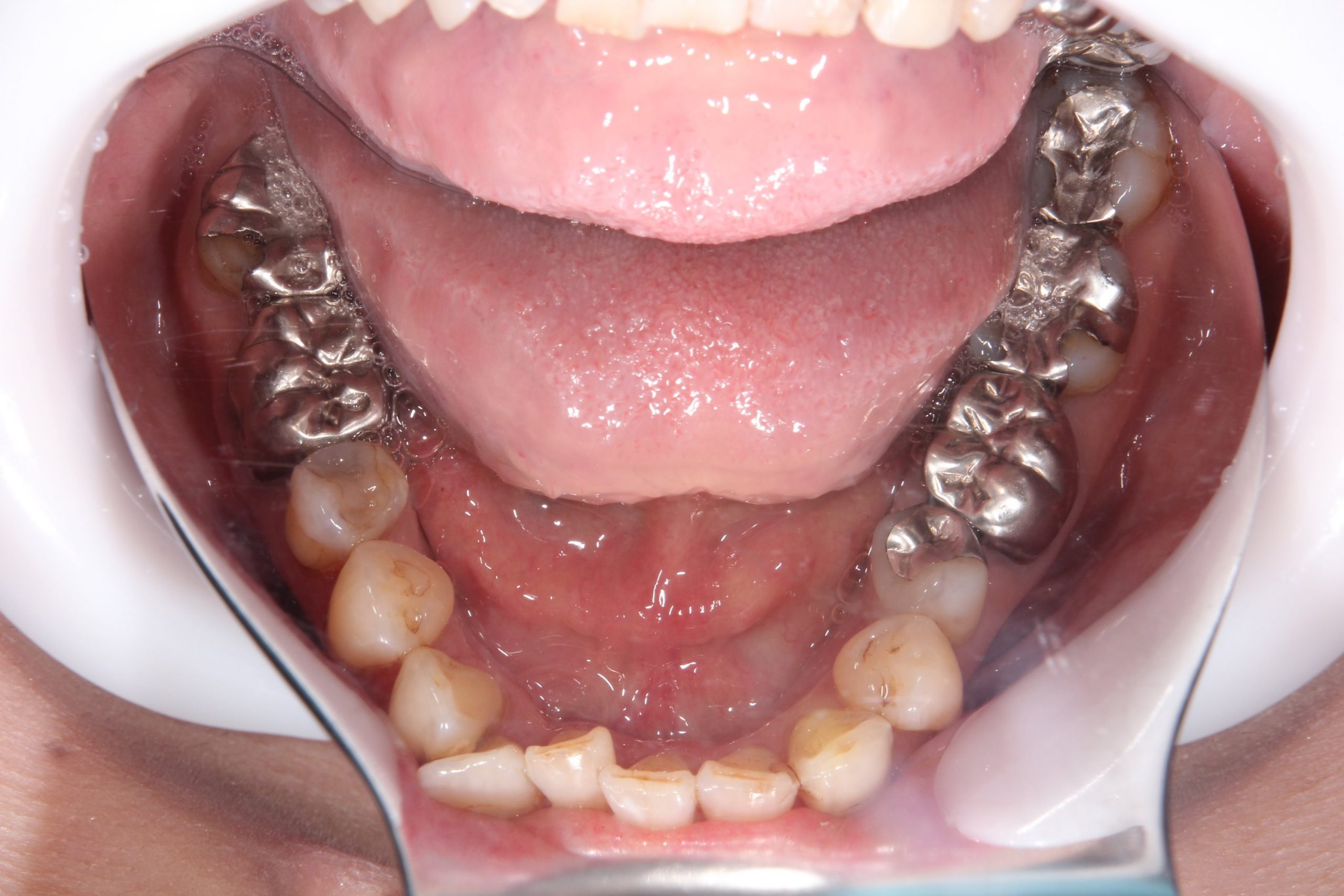
奥歯を銀歯から白歯にしたい。
(ハイブリッドセラミックインレー2本)
| 術前 | 術後 | |
|---|---|---|
![]() |
術後 | ![]() |
| 治療回数 | 2回 |
|---|---|
| 治療本数 | 2本 |
| 治療材質 | ハイブリッドインレー(セラマージュ) |
| 治療費用 | 84,000円 |
| 患者主訴 | 笑った時に見える銀歯を取り替えてほしい |
| 術前 | 術後 | |
|---|---|---|
![]() |
術後 | ![]() |
| 年齢 | 44歳 |
|---|---|
| 性別 | 男性 |
| 主訴と治療部位 | 虫歯治療。銀歯を白くしたい |
| 治療内容 | ハイブリッドセラミック形成印象→セット |
| 治療費 | 合計99,000円 ハイブリッドセラミックインレー33,000円×3本 (2022年8月現在) |
| 治療期間 | 4回 |
| リスク・副作用 | 噛み合わせが強い場合割れたり欠けたりすることがある。 経年的に着色することがある。 |
| 術前 | 術後 | |
|---|---|---|
![]() |
術後 | ![]() |
![]() |
術後 | ![]() |
| 年齢 | 61歳 |
|---|---|
| 性別 | 女性 |
| 主訴と治療部位 | 金属の見た目が気になるので白くしたい。 右上4〜7番、右下6番、左上6.7番、左下5〜8番 |
| 治療内容 | 右上4・6・7番、左上6~7番、左下5・7・8番 セラミックインレー 右上5番、右下6番、左下6番 オールセラミッククラウン |
| 治療費 | 合計786,500円 セラミックインレー55,000円×8本 ファイバーコア(土台)16,500円×1本 オールセラミッククラウン110,000円×3本 (2022年12月現在) |
| 治療期間 | 1ヶ月 |
| リスク・副作用 | 噛み合わせが強い場合、割れたり欠けたりすることがある。 |
| 治療方針 | 咬合確立のため、左右に分けて回数を少なく計4回で行った。 |
| 担当者所見 | 前歯部が叢生なので前歯に負担がかかりすぎないように、臼歯部が左右均等に当たるように咬合調整を行った。 |
| 術前 | 術後 | |
|---|---|---|
![]() |
術後 | ![]() |
| 年齢 | 33歳 |
|---|---|
| 性別 | 女性 |
| 主訴と治療部位 | 左下7番セラミックインレーの咬合面(上下の歯の噛み合わせに接する面)に穴があいている。 |
| 治療内容 | 左下7番セラミックインレーを除去してジルコニアインレーにかえる。 |
| 治療費 | 合計44,000円 ジルコニアインレー44,000円×1本 (2023年1月現在) |
| 治療期間 | 2週間 |
| リスク・副作用 | ジルコニアは天然の歯よりも硬いため、噛み合わせで接する対合歯(歯)を傷つけることがある。噛み合わせがあまり強い場合はジルコニア自体が割れることもある。 |
| 治療方針 | 歯ぎしりなどによる噛み合わせの負担が強くセラミックインレーだと割れてしまうリスクがあるので、セラミックより硬いジルコニアインレーで進めた。 |
| 特記事項 | 対合歯が削れる可能性があるので就寝時にマウスピースを使っていただくようご提案した。 |
| 担当者所見 | 色味が綺麗に仕上がりました。 |
| 術前 | 術後 | |
|---|---|---|
![]() |
術後 | ![]() |
| 年齢 | 31歳 |
|---|---|
| 性別 | 女性 |
| 主訴と治療部位 | 右下6番の銀歯を白くしたい |
| 治療内容 | セラミックインレー |
| 治療費 | セラミックインレー1本55,000円 (2023年3月現在) |
| 治療期間 | 2回(約2週間) |
| リスク・副作用 | 噛み合わせが強い場合割れてしまう事がある。 |
| 治療方針 | 上に歯にも銀歯があるのでいずれ白くしていきたい。 |
| 特記事項 | ご希望のタイミングでセラミックにやり替え予定。それまではレントゲン撮影も行い銀歯がむし歯にならないかチェックしていく。 |
| 担当者所見 | 銀歯の縁から虫歯になりやすいので、検診時に毎回しっかり虫歯のチェックを行っています。 |