WEB予約
インプラントの症例は多数がインターネット上で公開されています。 インプラントは一人ひとりの要望にあった手術法や人工歯の素材を利用するので、 審美的な観点に拘った物や症状にあわせたもの等様々な症例があります。
多数の症例を手掛けているクリニックには、 インプラントに関するノウハウがしっかりとあると言えます。 症例の紹介だけではなく治療費の目安なども併記してあるサイトも多いので、 どのくらいの費用が掛かるのか調べたい時にもお勧めです。
インプラントの症例はインターネットだけではなく、 クリニックでカウンセリング時等にも利用されます。
素材や手術のイメージが沸きやすいので、 症例と一緒に精密検査後に3Dの画像を用いた説明を行うことも多いです。
症例ではインプラントの仕上がりだけではなく、 手術中の様子や治療の経過など様々な物があります。
| 術前 | 術後 | |
|---|---|---|
![]() |
術後 | ![]() |
インプラントとひとことで言っても、 上顎・下顎の違いだけではなく歯の欠損を補う物や歯の骨の形成を伴う物まで様々です。
またインプラントの治療には半年以上かかかることが多いですが、 手術当日に仮歯を入れることによって、 インプラント治療を行ったことが人に気が付かれない方法もあります。
この場合インプラントが骨と結合するまでの間は仮歯を入れておきます。 忙しくて治療に時間が取れない方でも、 インプラントを選択する方は多数いらっしゃいます。 自分にあった治療法を選ぶためにも様々な症例を参考にしたいですね。
症例の写真を参考にする際には前後だけではなく、 治療後数年経った画像を併せてみることも大切です。 メインテナンスを定期的に受ける必要があるインプラント。
治療後数年たった画像は、 継続して治療を受けることが出来る信頼できる医師の証拠でもあります。
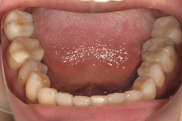
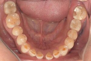
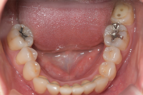
| 年齢・性別 | 40代・男性 |
|---|---|
| 主訴 | 右上7の痛みがあり歯根破折(歯ぐきの中にある根が 割れる)のため抜歯が必要 |
| 治療内容 | 右上7 インプラント |
| 治療費 | 【合計】572,000円 【内訳】診断料 55,000円、GBR 110,000円、 埋入料 165,000円、 静脈内鎮静法 77,000円、 上部構造(ジルコニアステイン)165,000円 |
| 治療期間 | 7ヶ月 |
| リスク・副作用 | インプラント周囲炎 定期的なメインテナンスの必要性。 噛んだ時に強すぎる力が加わるとインプラントの周りの骨にダメージを与えてしまい、 ひどい場合には骨の吸収が進みインプラントが脱落してしまう事がある。 夜間就寝時に装着するナイトガードの継続使用が 望ましい。 一部の持病をお持ちの方場合は病状によってはインプラント治療が出来ないことがある。 |
| 治療方針 | 右上7の奥歯に痛みがあり、マイクロスコープ(顕微鏡)を使用し歯根破折 (歯ぐきの中にある根の部分が割れている)があることを確認した。 写真にてお伝え、欠損補綴(歯を失った部分のの補う方法)のご説明 を行いインプラントにしていくことになった。 |
| 特記事項 | 入れ歯のように金属のバネが見えることがなく、かぶせ物もセラミックで 白くきれいに仕上げることが出来る。自分の歯のように噛むことができる。 |
| 担当者所見 | 最後臼歯の歯根破折は、たまに起こる。本症例においては歯根破折の原因 となった力をコントロールしていく事が重要である。 |
| 術前 | 術後 | |
|---|---|---|
![]() |
術後 | ![]() |
| 年齢・性別 | 50代・女性 |
|---|---|
| 主訴 | 左下7 奥歯に痛みがある |
| 治療内容 | 左下67 インプラント |
| 治療費 | 【合計】1,155,000円 【内訳】インプラント上部構造ハイブリッドクラウン 440,000円×2、 ガイド 55,000円、GBR 110,000円×2 |
| 治療期間 | 1年間 |
| リスク・副作用 | インプラント周囲炎 定期的なメインテナンスの必要性。 噛んだ時に強すぎる力が加わるとインプラントの周りの骨にダメージを与えてしまい、 ひどい場合には骨の吸収が進みインプラントが脱落してしまう事がある。 夜間就寝時に装着するナイトガードの継続使用が 望ましい。 一部の持病をお持ちの方場合は病状によってはインプラント治療が出来ないことがある。 |
| 治療方針 | もともと初診時から左下6は欠損(歯がない状態)していた患者様。 左下7に痛みがありご本人の希望で抜歯をすることになり、その後は インプラントになった。 近心傾斜している左下8の親知らずを一緒に抜歯してインプラントを 2本埋入した方が隙間もなくなり綺麗に歯が入る。 |
| 術前 | 術後 | |
|---|---|---|
![]() |
術後 | ![]() |
| 年齢・性別 | 20代・女性 |
|---|---|
| 主訴 | 左下5が欠けてしまい凍みる |
| 治療内容 | 左下Eの抜歯後インプラント埋入 |
| 治療費 | 【合計】572,000円 【内訳】ガイド 55,000円、静脈内鎮静法 77,000円、 インプラントハイブリッドクラウン 440,000円 |
| 治療期間 | 8ヶ月 |
| リスク・副作用 | 今後も虫歯や歯周病を進行させないように歯科衛生士による 歯みがき指導を受けていただく。 インプラント周囲炎 3ヶ月から6ヶ月の間に定期検診に 来ていただく。 噛んだ時に強すぎる力が加わるとインプラントの周りの骨に ダメージを与えてしまいひどい場合には骨の吸収が進み インプラントが脱落してしまう事がある。 夜間就寝時に装着するナイトガードを継続使用 していただく。 |
| 治療方針 | ブリッジ、入れ歯、インプラントについてご説明。 |
| 特記事項 | 費用面で問題がある患者様は『デンタルローン』をご選択いただく事が可能。 金利が安く歯科治療費に限定されたローン会社による立替払い制度。 費用が貯まるまで待たずに治療したい、毎月少しずつ無理なく 支払いたい患者様におすすめのお支払い方法。 |
| 担当者所見 | 左側のかみ合わせが低かったので、骨を削除してしっかり左右で 噛むことが出来るようにかみ合わせを作ってからインプラントを埋入した。 |
| 術前 | 術後 | |
|---|---|---|
![]() |
術後 | ![]() |
| 年齢・性別 | 40代・女性 |
|---|---|
| 主訴 | 左上6番の歯ぐきの腫れ・痛み |
| 治療内容 | 左上6番のインプラント治療 |
| 治療費 | 【合計】814,000円 【内訳】 診断料55,000円 埋入料165,000円 上部構造220,000円 骨造成GBR110,000円 ソケットリフト110,000円 IV77,000円 ガイド55,000円 2次オペ22,000円 (2023年3月現在) |
| 治療期間 | 1年 |
| リスク・副作用 | インプラント周囲炎を引き起こす可能性があり最悪の場合骨が吸収され抜け落ちてしまうことがある。 常に清潔にし、歯医者での定期的なメンテナンスが必要になってくる。 噛む力が天然歯よりも強いため夜間使用するナイトガードがあると望ましい。 インプラント埋入後、顔面の内出血や腫れが一週間程度残る可能性がある。 術後発熱する可能性がある。 |
| 治療方針 | 左上6番に痛み・歯ぐきの腫れ・膿があり、根管治療専門医へ紹介しマイクロスコープで確認したところ、根っこが縦に割れていることが判明した。抜歯をしインプラント治療を選択された。 インプラントを入れるための骨量が足らないため、骨造成を行い骨ができるまでの期間は保険の入れ歯を入れて過ごしていただき経過観察をした。 |
| 特記事項 | 骨の出来具合によって治療期間が伸びる可能性がある。 歯がない期間は入れ歯又は、仮歯で過ごしてもらう。 |
| 担当者所見 | 最終補綴物セット後、CT撮影し確認したところ埋入位置や骨量問題なく経過良好。 現在は3カ月に1度検診を行っている。 |
| 術前 | 術後 | |
|---|---|---|
![]() |
術後 | ![]() |
| 年齢・性別 | 50代・男性 |
|---|---|
| 主訴 | 左下4番の揺れ。左下4〜6番 |
| 治療内容 | 左下4〜6番のインプラント治療 |
| 治療費 | 【合計】1,551,000円 【内訳】診断料55,000円・静脈内鎮静法77,000円・ガイド77,000円・骨造成220,000円・埋入料495,000円・2次オペ66,000円・上部構造561,000円 (2024年1月現在) |
| 治療期間 | 9ヶ月 |
| リスク・副作用 |
術後は腫れや出血・内出血、まれに発熱する可能性があります。 当日は長時間の入浴や激しい運動はお控えください。 治療後はメインテナンスを十分に行わなければ、インプラント周囲炎などのトラブルが発生することがあります。 インプラントのみでなく、口の中全体の口腔清掃をしっかりと行い、インプラント周囲炎を予防する事が大切です。 |
| 治療方針 | 左下4番揺れのため来院。被せ物を外して中を確認したところ、歯が縦に割れていたため抜歯に。 左下5、6番は入れ歯を使っていたが、3本ともインプラント治療を選択された。 |
| 特記事項 | インプラント体と骨の結合不全が起こる可能性があります。 その場合は治療期間が伸びることがあります。 |
| 担当者所見 | 噛んだ時に強すぎる力が加わると被せ物が欠けたり、インプラントの周りの骨にダメージを与えてしまい、ひどい場合には骨の吸収が進みインプラントが脱落してしまう事があるため、夜間就寝時はナイトガードを使用してもらう。 |
| 術前 | 術後 | レントゲン写真 | |
|---|---|---|---|
![]() |
術後 | ![]() |
![]() |
| 年齢・性別 | 40代・男性 |
|---|---|
| 主訴 | 右下7番、左下6番 |
| 治療内容 | 右下7番、左下6番のインプラント治療 |
| 治療費 | 合計:1,056,000円 【内訳】 診断料55,000円・静脈内鎮静法77,000円・ガイド66,000円・骨造成110,000円・埋入料330,000円・2次オペ44,000円・上部構造374,000円 (2024年4月現在) |
| 治療期間 | 6ヶ月 |
| リスク・副作用 | 術後は痛みや腫れ、内出血・まれに発熱する可能性があります。 術後数日は傷口より血がにじむことがあります。 一過性、場合によっては持続的に、唇・舌・頬・口蓋・歯ぐき・歯牙等の感覚麻痺・切開に起因する瘢痕組織による知覚異常が起こることがあります。 インプラントは人工物なので虫歯になることはありませんが、歯周病(インプラント周囲炎)になります。インプラントを長持ちさせるために、毎日の歯ブラシと定期検診でのクリーニングが大切です。 |
| 治療方針 | 虫歯があるため来院。左下6番は他院で抜歯済み。右下7番は虫歯が深いため当院で抜歯に。2本ともインプラント治療を選択された。 左下7番抜歯後からオペまでの間に、他の部位の虫歯治療をすすめていく。 |
| 特記事項 | インプラント体と骨の結合不全が起こる可能性があります。 その場合は治療期間が伸びることがあります。 |
| 担当者所見 | 上部構造は人工物のため欠ける可能性があります。 夜間就寝時はナイトガードを使用してもらいます。 |
| 術前 | 術後 | |
|---|---|---|
![]() |
術後 | ![]() |
| 担当医 | 白須先生 |
|---|---|
| 年齢・性別 | 50代・女性 |
| 主訴 | 右上1番と左上1番の 歯が無くなってしまったところを治したい。 |
| 治療内容 | 右上1番と左上1番のインプラント |
| 治療費 | 【合計】1,122,000円 【内訳】 診断料:55,000円 ガイド製作料:66,000円 静脈内鎮静法:77,000円 インプラント埋入料:330,000円 骨造成:110,000円 インプラント2次オペ:44,000円 仮歯:110,000円 最終的なジルコニアの被せ物:330,000円 (2021年10月現在時点) |
| 治療期間 | 約1年 |
| リスク・副作用 | インプラント埋入は外科的な処置であるため、一過性、場合によっては持続的に知覚鈍麻が起こる可能性があります。 インプラント体と骨との結合が半年では十分にすすまないことがあります。その場合は治療期間が伸びることがあります。 外科処置後、痛みや腫れといった症状が約1~2週間程続きます。内出血がでることもあります。 |
| 特記事項 | 元々右上1番が無く、ブリッジの支えだった左上1番も虫歯のため抜歯することになった。 |
| 術前 | 術後 | |
|---|---|---|
![]() |
術後 | ![]() |
| 担当医 | 白須先生 |
|---|---|
| 年齢・性別 | 30代・女性 |
| 主訴 | 右下7番の歯がないところを治療したい |
| 治療内容 | 右下7番のインプラント治療 |
| 治療費 | 【合計】671,000円 【内訳】 診断料55,000円 静脈内鎮静法77,000円 サージカルガイド55,000円 骨造成110,000円 埋入料165,000円 2次オペ22,000円 上部構造(フルジルコニア)187,000円 (2025年1月現在時点) |
| 治療期間 | 6ヶ月 |
| リスク・副作用 | インプラント埋入は外科的な処置であるため、一過性、場合によっては持続的に知覚鈍麻が起こる可能性があります。 インプラント体と骨との結合が半年では十分にすすまないことがあります。その場合は治療期間が伸びることがあります。 外科処置後、痛みや腫れといった症状が約1~2週間程続きます。内出血がでることもあります。 |
| 術前 | 途中経過 | 術後 | ||
|---|---|---|---|---|
![]() |
途中経過 | ![]() |
術後 | ![]() |