WEB予約
日々の食事や飲み物の中には、歯の表面に色素が付着しやすいものがあります。 着色汚れ(ステイン)の原因を知ることで、ホワイトニングの効果をより長持ちさせることが できます。
横にスライドできます


歯の表面をホワイトニング専用ペーストで磨きます。

ホワイトニングペーストを歯の表面に付けます。

LEDライトを10分間あてます。

ホワイトニング剤を拭き取ります。
※最大で3回繰り返しホワイトニング剤を付けることができます。

歯の色の変化を確認します。
| オフィスホワイトニング (1回) |
4,400円 |
|---|---|
| オフィスホワイトニング (3回セット) |
9,900円 |



| ホームホワイトニング 上下マウスピース+ジェル2本付き (ジェルはアンジェラスホーム10%・16%どちらか選択可) |
13,200円 |
|---|---|
| ホームホワイトニング ジェルのみ1本 | 2,750~3,750円 |

デュアルホワイトニングはオフィスホワイトニングとホームホワイトニングを併用して行う方法です。
短期間での白さアップが期待でき、効果も長持ちしやすいのが特徴です。
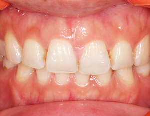
| 術前 | 術後 | |
|---|---|---|
![]() |
術後 | ![]() |
| 年齢・性別 | 54歳・女性 |
|---|---|
| 治療内容 | オフィスホワイトニング3照射 ホームホワイトニング |
| 治療費 | 20,900円 |
| 治療期間 | 3ヶ月 |
| リスク・副作用 | 一時的に知覚過敏になる可能性がある ホワイトスポットが目立つようになる 詰め物やかぶせ物の色は変わらない |
| 治療方針 | ホームホワイトニング継続 |
| 担当者所見 | 白さ維持のためにホームホワイトニングの使用を続けていく。 |
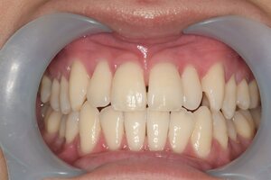
| 初診時写真 | 術前 | |
|---|---|---|
![]() |
術前 | ![]() |
| 途中経過 | 術後 | |
|---|---|---|
![]() |
術後 | ![]() |
| 年齢・性別 | 44歳・男性 |
|---|---|
| 主訴 | 歯を白くしたい・虫歯の治療 |
| 治療内容 | オフィスホワイトニング2回照射+ホームホワイトニング |
| 治療費 | 合計17,600円 オフィスホワイトニング3,300円×2回 ホームホワイトニング11,000円 |
| 治療期間 | 2週間 |
| リスク・副作用 | 一時的に知覚過敏になる可能性がある ホワイトスポットが目立つようになる 詰め物やかぶせ物の色は変わらない |
| 治療方針 | 今後は定期検診で色味をチェックし ホームホワイトニングを継続 |
| 特記事項 | この患者様は今回のデュアルホワイトニングを行う 数か月前に合計4回 オフィスホワイトニングを行いましたが、後戻りをしてきたので再度ホワイトニングを行いました。 |
| 担当者所見 | 過去にオフィスホワイトニングをしていたので色は 初回より明るくなりやすかったです。 |
| 術前 | 術後 | |
|---|---|---|
![]() |
術後 | ![]() |
| 年齢・性別 | 60歳・女性 |
|---|---|
| 治療内容 | オフィスホワイトニング3照射 |
| 治療費 | 9,900円 オフィスホワイトニング3,300円×3回 |
| 治療期間 | 1日 |
| リスク・副作用 | 一時的に知覚過敏になる可能性がある ホワイトスポットが目立つようになる 詰め物やかぶせ物の色は変わらない |
| 術前 | 術後 | |
|---|---|---|
![]() |
術後 | ![]() |
| 年齢・性別 | 30歳・女性 |
|---|---|
| 治療内容 | オフィスホワイトニング3照射 |
| 治療費 | 9,900円(2022年5月現在) オフィスホワイトニング3,300円×3回 |
| 治療期間 | 1日 |
| リスク・副作用 | 一時的に知覚過敏になる可能性がある ホワイトスポットが目立つようになる 詰め物やかぶせ物の色は変わらない |
| 術前 | 途中経過 | 術後 | ||
|---|---|---|---|---|
|
途中経過 |
|
術後 |
|
| 年齢・性別 | 38歳・男性 |
|---|---|
| 主訴 | ホワイトニング希望 |
| 治療内容 | オフィスホワイトニング |
| 治療費 | 19,800円(2022年6月現在) 3,300円×6回 |
| 治療期間 | 2回 |
| リスク・副作用 |
・妊娠中の方、20歳未満の方、光線過敏症、 無カタラーゼ症候群の方は実施できない ・神経がない歯は白くできない ・詰め物がある場合は詰め物と歯の色合いが 変わることがある ・治療後30分は飲食を控え、24時間は 色の濃い飲食物は控える ・治療後一時的にしみたりすることがある ・後戻りしてしまうので定期的に処置する必要がある ・知覚過敏 |
| 術前 | 術後 | |
|---|---|---|
![]() |
術後 | ![]() |
| 年齢・性別 | 20歳・女性 |
|---|---|
| 治療内容 | オフィスホワイトニング3照射 |
| 治療費 | 9,900円(2022年7月現在) オフィスホワイトニング3,300円×3回 |
| 治療期間 | 1日 |
| リスク・副作用 | 一時的に知覚過敏になる可能性がある ホワイトスポットが目立つようになる 詰め物やかぶせ物の色は変わらない |
| 術前 | 術後 | |
|---|---|---|
![]() |
術後 | ![]() |
| 年齢・性別 | 26歳・女性 |
|---|---|
| 治療内容 | 定期検診とオフィスホワイトニング |
| 治療費 | 9,900円(2022年7月現在) オフィスホワイトニング3,300円×3回 |
| 治療期間 | 1日 |
| リスク・副作用 | ・妊娠中の方、20歳未満の方、光線過敏症、無カタラーゼ症候群の方は実施できない ・神経がない歯は白くできない ・詰め物がある場合は詰め物と歯の色合いが変わることがある ・治療後30分は飲食を控え、24時間は色の濃い飲食物は控える ・治療後一時的にしみたりすることがある ・後戻りしてしまうので定期的に処置する必要がある ・知覚過敏 |
| 術前 | 術後 | |
|---|---|---|
![]() |
術後 | ![]() |
| 年齢・性別 | 35歳・女性 |
|---|---|
| 治療内容 | オフィスホワイトニング |
| 治療費 |
合計9,900円(2022年1月現在) オフィスホワイトニング3,300円×3回 |
| 治療期間 | 1回 |
| リスク・副作用 |
・妊娠中の方、20歳未満の方、光線過敏症、無カタラーゼ症候群の方は実施できない ・神経がない歯は白くできない ・詰め物がある場合は詰め物と歯の色合いが変わることがある ・治療後30分は飲食を控え、24時間は色の濃い飲食物は控える ・治療後一時的にしみたりすることがある ・後戻りしてしまうので定期的に処置する必要がある ・知覚過敏 |
| 術前 | 術後 | |
|---|---|---|
![]() |
術後 | ![]() |
| 年齢・性別 | 40歳・女性 |
|---|---|
| 治療内容 | オフィスホワイトニング2回 |
| 治療費 |
合計6,600円(2022年10月現在) オフィスホワイトニング3,300円×2回 |
| 治療期間 | 1日 |
| 治療方針 | 今後は定期検診も同時に行い維持をしていく |
| リスク・副作用 |
・一時的に知覚過敏になる可能性がある ・ホワイトスポットが目立つようになる ・詰め物やかぶせ物の色は変わらない |
| 術前 | 術後 | |
|---|---|---|
![]() |
術後 | ![]() |
| 年齢・性別 | 35歳・女性 |
|---|---|
| 治療内容 | 上下3~3番オフィスホワイトニング |
| 治療費 |
合計19,800円(2022年10月現在) オフィスホワイトニング3,300円×6回 |
| 治療期間 | 90分×2回 |
| 担当者所見 | この方は1度の来院でトーンが上がりやすい方でした。2度目の来院でかなり白くなりました。今後は後戻り防止に回数を減らすか期間を開けてのホワイトニングに移行です。 |
| リスク・副作用 |
・妊娠中の方、20歳未満の方、光線過敏症、無カタラーゼ症候群の方は実施できない ・神経がない歯は白くできない ・詰め物がある場合は詰め物と歯の色合いが 変わることがある ・治療後30分は飲食を控え、24時間は色の濃い飲食物は 控える ・治療後一時的にしみたりすることがある ・後戻りしてしまうので定期的に処置する必要がある ・知覚過敏 |
| 術前 | 術後 | |
|---|---|---|
![]() |
術後 | ![]() |
| 年齢・性別 | 43歳・女性 |
|---|---|
| 主訴 | 歯を白くしたい |
| 治療内容 | ホームホワイトニング |
| 治療費 |
合計11,000円 (2023年3月現在) |
| 治療期間 | 約2週間 |
| 治療方針 | 今後は検診時に一緒にオフィスホワイトニングも行うことになった。 |
| 特記事項 | 前歯が八重歯なので上顎の2番に着色がもともと付きやすい。 歯が白くなったので前よりも着色が目立ちやすくなった。PMTCでおとした。 |
| 担当者所見 | この方はしみる症状が出てしまうため継続的にホームホワイトニングを長時間行うのが難しそう。短時間でできそうなときに行う。 オフィスホワイトニングならできそうとのことなので、しみ具合を確認しながら行っていく。 |
| リスク・副作用 | 一時的な知覚過敏によってしみることがある。 ホワイトスポットが出現する場合がある。 継続していないと後戻りしてくる。 |
| 術前 | 術後 | |
|---|---|---|
![]() |
術後 | ![]() |
| 年齢・性別 | 27歳・女性 |
|---|---|
| 主訴 | 歯を白くしたい(上下3~3番) |
| 治療内容 | オフィスホワイトニング:3回照射 |
| 治療費 |
合計9,900円 オフィスホワイトニング:3,300×3回 (2023年8月現在) |
| 治療期間 | 90分(1回×30分) |
| 治療方針 | 3ヵ月ごとに定期検診とホワイトニングを継続予定 |
| リスク・副作用 | ・一時的に知覚過敏を起こす可能性がある。 ・ホワイトスポットという白濁が目立つことがある。 ・少しずつ後戻りする。 |
| 特記事項 | 元々ホワイトスポットがある方だったので、目立つようになることはご了承していただいて施術を開始。 |
| 担当者所見 | きれいに歯磨きしていくことも白さをキープするために大切であり、フロスもしっかり通していただくことを伝えた。 |
| 術前 | 術後 | |
|---|---|---|
![]() |
術後 | ![]() |
| 年齢・性別 | 33歳・女性 |
|---|---|
| 主訴 | 歯を白くしたい |
| 治療内容 | 右上3~左上3番 右下3~左下3番 |
| 治療費 |
合計9,900円 オフィスホワイトニング:3,300×3回 (2023年9月現在) |
| 治療期間 | 90分(1回×30分) |
| 治療方針 | 全体の歯のクリーニング後、オフィスホワイトニングを3回行いました。 |
| リスク・副作用 | ・ホワイトニングの後は、歯がしみたり痛みが出る場合があります。 ・ホワイトニング後はホワイトスポットという白い斑点ができる可能性があります。 |
| 特記事項 | ・一度である程度の白さは得られますが、濃度が高い薬剤を使用するためあまり深く浸透せず、色の後戻りが早いです。 ・白くできる範囲はお口を広げた時に見える範囲のみになります。 ・ホワイトニング後24時間は色の濃い飲食物(コーヒー、紅茶、カレー)や冷たいもの熱いもの、刺激の強いものはお控えください。また喫煙もお控えください。 |
| 担当者所見 | 何回かオフィスホワイトニングをされてる方ですが、オフィスホワイトニングとホームホワイトニングを併用していただくことによってより白くなり、白さを維持できるため、ホームホワイトニングをおすすめしました。 |
| 術前 | 術後 | |
|---|---|---|
![]() |
術後 | ![]() |
| 年齢・性別 | 65歳・男性 |
|---|---|
| 治療部位 | 上下3~3番 |
| 治療内容 | ホームホワイトニング 右下3~左下3番 |
| 治療費 | 11,000円 (2023年12月現在) |
| 治療期間 | 約2週間 |
| 治療方針 | 全体の歯のクリーニング後、オフィスホワイトニングを3回行いました。 |
| リスク・副作用 | ・しみることがある。 ・継続しないと後戻りする。 ・被せ物は白くならない。 |
| 治療方針 | 前歯の被せ物が白く天然歯との色の違いが気になっていた。 |
| 特記事項 | 被せ物の色に合うように天然の歯の色をホワイトニングで合わせていきました。 |
| 担当者所見 | CRという部分的な詰め物の色も気になるようであれば詰め直しが可能。 |
| 術前 | 途中経過 | 術後 | ||
|---|---|---|---|---|
|
途中経過 |
|
術後 |
|
| 年齢・性別 | 24歳・女性 |
|---|---|
| 主訴 | ホワイトニング希望 |
| 治療内容 | オフィスホワイトニング2回照射、ホームホワイトニング |
| 治療費 | キャンペーン価格で合計¥14,080 (2024年3月現在) |
| 治療期間 | 約2週間 |
| リスク・副作用 |
・妊娠中の方、20歳未満の方、光線過敏症、無カタラーゼ症候群の方は実施できない ・神経がない歯は白くできない ・詰め物がある場合は詰め物と歯の色合いが変わることがある ・治療後30分は飲食を控え、24時間は色の濃い飲食物は控える ・治療後一時的にしみたりすることがある ・後戻りしてしまうので定期的に処置する必要がある ・知覚過敏 |
| 治療方針 | ホームホワイトニング継続 |
| 担当者所見 | オフィスホワイトニング後、ホワイトスポットが目立ってしまったが、ホームホワイトニング継続で目立たなくなってきた。 |
| 術前 | 術後 | |
|---|---|---|
|
術後 |
|
| 年齢・性別 | 21歳・男性 |
|---|---|
| 主訴 | 歯を白くしたい。 |
| 治療内容 | 上下4番~4番のオフィスホワイトニング3回照射 |
| 治療費 | 合計:9,900円 ・内訳 オフィスホワイトニング3回:9,900円 (2025年1月現在) |
| 治療期間 | 1日 |
| リスク・副作用 | ホワイトニング後は、しみたり痛みが出ることがある。 継続しないと後戻りする。 ホワイトスポットという白い斑点ができる可能性がある。 |
| 治療方針 | 全体の歯のクリーニング後に、オフィスホワイトニング3回行いました。 |
| 特記事項 | ・一度である程度の白さは得られますが、濃度が高い薬剤を使用するためあまり深く浸透せず、色の後戻りが早いです。 ・白くできる範囲はお口を広げた時に見える範囲のみになります。 ・ホワイトニング後24時間は色の濃い飲食物(コーヒー、紅茶、カレー)や冷たいもの熱いもの、刺激の強いものはお控えください。また喫煙もお控えください。 |
| 担当者所見 | 一度の来院でとても満足していただけました。 |
| 術前 | 術後 | |
|---|---|---|
|
術後 |
|
| 年齢・性別 | 23歳・女性 |
|---|---|
| 主訴 | オフィスホワイトニングしたい。 |
| 治療内容 | オフィスホワイトニング3回照射 |
| 治療費 | 合計:9,900円 ・内訳 オフィスホワイトニング3回:9,900円 (2024年8月現在) |
| 治療期間 | 1日 |
| リスク・副作用 | ・妊娠中の方、20歳未満の方、光線過敏症、無カタラーゼ症候群の方は実施できない ・神経がない歯は白くできない ・詰め物がある場合は詰め物と歯の色合いが変わることがある ・治療後30分は飲食を控え、24時間は色の濃い飲食物は控える ・治療後一時的にしみたりすることがある ・後戻りしてしまうので定期的に処置する必要がある ・知覚過敏 |
| 治療方針 | 全体をクリーニングした後にオフィスホワイトニングを行った。 定期検診に通いながら、色味が気になってきたらオフィスホワイトニングする事になった。 |
| 特記事項 | ・一度である程度の白さは得られますが、濃度が高い薬剤を使用するためあまり深く浸透せず、色の後戻りが早いです。 ・白くできる範囲はお口を広げた時に見える範囲のみになります。 ・ホワイトニング後24時間は色の濃い飲食物(コーヒー、紅茶、カレー)や冷たいもの熱いもの、刺激の強いものはお控えください。また喫煙もお控えください。 |
| 担当者所見 | ホワイトニングの効果には個人差があるが、一度の来院でとても満足していただけた。 |
| 年齢・性別 | 年齢・性別 | 20代・女性 |
|---|---|---|
| 主訴治療部位 | ホワイトニングとガムピーリングがしたい。 | |
| 治療内容 | 上下4番~4番のオフィスホワイトニング2回照射とガムピーリング | |
| 治療費 | 合計:17,600円 ・内訳 オフィスホワイトニング2回:6,600円 ガムピーリング:11,000円 (2025年2月現在) |
|
| 治療期間 | 1日 | |
| リスク・副作用 | ホワイトニングは、ホワイトニングの後は歯がしみたり痛みが出る場合がある。ホワイトニング後はホワイトスポットという白い斑点ができる可能性がある。 ガムピーリングは、歯ぐきが一層剥がれてピンクになるので、剥がれている期間の歯ぐきの痛みやピリピリ感。生活習慣や食生活による色戻り。 |
|
| 治療方針 | 上下4番~4番のオフィスホワイトニングとガムピーリング | |
| 特記事項 | ホワイトニングは、光線過敏症・妊娠中もしくは授乳中・無カタラーゼ症候群の方は施術不可。 ガムピーリングは、フェノール・アルコールアレルギーの方は施術不可。 途中経過は、オフィスホワイトニング2回照射後の写真。 治療後の写真は、ガムピーリング後の歯肉が治った時の写真。 |
|
| 担当者所見 | 本人はたばこは吸ってないが、幼少期にお父様が吸われていた。遺伝や紫外線、口呼吸でも黒ずむ。 とても満足していただけました。 |
| 術前 | 途中経過 | 術後 |
|---|---|---|
![]() |
![]() |
![]() |
| BEFORE |
|---|
![]() |
| 途中経過 |
|---|
![]() |
| AFTER |
|---|
![]() |