オフィスホワイトニングの
施術の流れついての説明動画
オフィスホワイトニングの施術の流れについての説明動画を用意いたしました。ご参考までにぜひご覧ください。
歯を白くする
オフィスホワイトニング
自宅で行うホワイトニング治療がホームホワイトニングであるのに対し、歯科医院で直接医師が治療を行うものはオフィスホワイトニングと呼ばれます。
オフィスホワイトニングは医師の診察を受け、その後、ホワイトニング専用のレーザー器具などを用いて治療を行います。
具体的には、高濃度の過酸化水素が含まれるホワイトニング剤を歯に塗り、その箇所にレーザーを照射することで、着色していた色素のみを分解し、歯を白い状態にします。
着色を落とすことと、ホワイトニングは別のお話になります。
「着色を落とすこと」=「歯の表面についた色を落とすこと」で、
「ホワイトニング」=「歯の色そのものを白くしていくこと」です。
今回は、歯科医院で行う「オフィスホワイトニング」のメリットとデメリットをご説明します。
オフィスホワイトニングの
メリット・デメリット
オフィスホワイトニングの
メリット
- 高濃度のホワイトニング剤と特殊な光線を使用するため、1回の施術でホワイトニング効果が得られることが多い
- 歯科医師や歯科衛生士が施術してくれるため、ムラになる心配がほとんどない
- 事前に虫歯のチェックをすることで、自分では気づかなかった虫歯の早期発見や治療につながることがある
- 事前に歯石の除去をすることで、口内環境の改善や歯周病の予防効果が期待できる
- 歯が白くなることで、見た目に自信が持てるようになる
- 健康な歯を削ることがない
オフィスホワイトニングの
デメリット
- 自由診療(全額自己負担)のため、ホームホワイトニングと比べて費用が高くなることが
多い
- 一般歯科で治療を行う
- 使用するホワイトニング剤の濃度が高いため、人によってしみる症状が出ることがある(ほとんどの場合一時的なことが多い)
- 事前に虫歯の治療や歯石の除去を済ませなければならないことがあるため、希望するタイミングで施術を受けられないことがある
- 短期間で白い歯を手に入れられるが、後戻り(オフィスホワイトニングをした歯が、元の色に戻ってしまうこと)も早い場合が
ある
- ホワイトニング効果は永久ではないため、コーヒーやお茶、タバコといった食べ物、飲み物、嗜好品によって色が戻ってしまうことが
ある
- 元の歯の色や質といった影響で、期待した効果が得られないこともある
- ホワイトニングを避けた方が良い人や、適さない歯があるため、誰もが受けられるわけではない
一般的なオフィス
ホワイトニングの治療手順
- まず、担当医師が歯の状態を診断し、現状を確認いたします。その後、ホワイトニングの効果を高めるため、クリーニングを行います。そして、歯にホワイトニング剤を塗る前の準備として、できるだけ歯肉や粘膜を保護するため、特殊な薬剤を塗ります。
- 次に、歯にホワイトニング剤を塗ります。その後、レーザーや熱で色素を分解する専用の器具を使用し、着色を落としていきます。
- 最後に、再度クリーニングを行い、知覚に異常がないかなどを確認し治療完了です。オフィスホワイトニングは即効性の高い治療のため、この時点で既に相当な効果を実感することができます。
オフィスホワイトニングの価格 (税込)
久我山駅前歯科では、本数ではなく見える部分の歯はすべてオフィスホワイトニングを行い、追加料金は貰っておりませんのでご安心ください。
オフィスホワイトニング (1回) |
4,400円 |
オフィスホワイトニング (3回セット) |
9,900円 |
オフィスホワイトニングで
白い歯を手に入れる
オフィスホワイトニングの治療にかかる時間は、個々人の歯の状態や担当する医師の治療方法などにより差がありますが、1時間半から3時間程度で完了するケースが多いようです。
このように、オフィスホワイトニングは治療を受け、すぐに白い歯を手に入れることができます。
しかし、ホームホワイトニングのように長い時間をかけ、色素を分解しているわけではないため、効果の持続期間が短いというデメリットがあります。一般的に、ホームホワイトニングの持続期間が1年から2年程度であるのに対し、オフィスホワイトニングの持続期間は3ヶ月から6ヶ月程度と半分以下となることが多いようです。
オフィスホワイトニングの症例
現在の治療費と異なる場合がございます。最新の治療費は料金表をご確認ください。
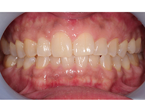
症例No.1
| 年齢・性別 |
49歳・男性 |
| 治療内容 |
オフィスホワイトニング3照射 |
| 治療費 |
9,900円 |
| 治療期間 |
1ヶ月 |
| リスク・副作用 |
知覚過敏 |
| 術前 |
術後 |
 |
術後 |
 |
症例No.2
| 年齢・性別 |
20歳・男性 |
| 主訴 |
クリーニング・ホワイトニング |
| 治療内容 |
オフィスホワイトニング2照射 |
| 治療費 |
6,600円 |
| 治療期間 |
1日 |
| リスク・副作用 |
知覚過敏 |
| 術前 |
術後 |
 |
術後 |
 |