WEB予約

| クラウンの種類 | メリット | デメリット |
|---|---|---|
| オールセラミッククラウン |
|
|
| メタルボンド |
|
|
| ジルコニアクラウン |
|
|
| ゴールドクラウン |
|
|
| 保険のクラウン(レジン前装冠) |
|
|
| オールセラミッククラウン | メリット |
|
デメリット |
|
|---|---|---|---|---|
| メタルボンド | メリット |
|
デメリット |
|
| ジルコニアクラウン | メリット |
|
デメリット |
|
| ゴールドクラウン | メリット |
|
デメリット |
|
| 保険のクラウン(レジン前装冠) | メリット |
|
デメリット |
|
| 素材 | ジルコニア | オールセラミック | メタルボンド | ゴールド | 銀歯 |
|---|---|---|---|---|---|
| 審美性 | ○ | ◎ | △ | × | × |
| 強度 | ◎ | △ | ◎ | ◎ | ◎ |
| 金属アレルギーのなりにくさ | ◎ | ◎ | △ | △ | × |
| 汚れの付きにくさ | ◎ | ◎ | △ | △ | △ |
| ジルコニア | 審美性 | ○ | 強度 | ◎ | 金属アレルギーのなりにくさ | ◎ | 汚れの付きにくさ | ◎ |
|---|---|---|---|---|---|---|---|---|
| オールセラミック | 審美性 | ◎ | 強度 | △ | 金属アレルギーのなりにくさ | ◎ | 汚れの付きにくさ | ◎ |
| メタルボンド | 審美性 | △ | 強度 | ◎ | 金属アレルギーのなりにくさ | △ | 汚れの付きにくさ | △ |
| ゴールド | 審美性 | × | 強度 | ◎ | 金属アレルギーのなりにくさ | △ | 汚れの付きにくさ | △ |
| 銀歯 | 審美性 | × | 強度 | ◎ | 金属アレルギーのなりにくさ | × | 汚れの付きにくさ | △ |





| 治療期間 | 1ヶ月 |
|---|---|
| 治療内容 | オールセラミッククラウン+ホワイトニング |
| 治療本数 | 1本 |
| 治療費用 | オールセラミック220,000円(税込) |
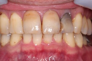
| 術前 | 以前かぶせた銀色のクラウンが 笑った時に目立つのが気になるという患者様です。 普通、前から数えて4番目の歯、 つまり犬歯(糸切り歯)から後ろは保険治療では銀色のつめ物になってしまいます。 |
| 術後 | 銀歯を外し、オールセラミッククラウンを装着しました。 天然歯の持つ自然なグラデーションも 歯科医師と歯科技工士との連携で満足のいく仕上がりになりました。 |
| 術前 | 術後 |
|---|---|
![]() |
![]() |
| 年齢・性別 | 43歳・女性 |
|---|---|
| 主訴 | 歯の色が気になる、すり減ってきている |
| 治療内容 | 左上1 ジルコニアボンドクラウン |
| 治療費 | 【合計】 187,000円 【内訳】 ファイバーコア16,500円 仮歯5,500円 ジルコニアボンドクラウン165,000円(2022年9月現在) |
| 治療期間 | 4週間 |
| リスク・副作用 | ジルコニアボンドクラウンは、 通常の金属単体のクラウンより若干削る量が多いこと、 ごく稀に割れたり欠けたりすることがある。 |
| 治療方針 | 1本なので両隣の歯の色と差が出ないよう綺麗に色が再現できる素材を選択した。 |
| 治療前 | 治療後 | |
|---|---|---|
|
治療後 |
|
| 年齢・性別 | 57歳・男性 |
|---|---|
| 主訴 | 右上7番、シルバーインレーで治療済みの歯がしみる。 |
| 治療内容 | 右上7番 ジルコニアクラウン |
| 治療費 | 合計:71,500円 ジルコニアクラウン:55,000円 ファイバーコア:16,500円 (2023年4月現在) ※価格は税込みです。 |
| 治療期間 | 1.5ヵ月 |
| リスク・副作用 | 硬い素材なのでセラミックに比べると色味の加工が難しい。かみ合わせで接する対合歯(歯)が削れてしまうことある。 |
| 治療方針 | シルバーインレーを除去すると虫歯で神経が侵されていたため、根管治療を開始。 根管治療が終わった後ファイバーコア(土台)をたててからクラウンを製作した。 |
| 特記事項 | 写真3.4枚目はペンスコープ(口腔カメラ)で右上7番を拡大して撮影したものです。3枚目の写真ではシルバーインレーの頬側から穴が開いていることが分かります。シルバーインレーを外してみると中で虫歯が進行していました。(4枚目) |
| 治療前 | 治療後 | |
|---|---|---|
|
治療後 |
|
| 頬側から穴が開いている | 外すと虫歯が進行 | |
|
外すと虫歯が進行 |
|
| 年齢・性別 | 57歳・男性 |
|---|---|
| 主訴 | 左上2番 黒いのが気になるので治したい。 |
| 治療内容 | 左上2番 ジルコニアステインクラウン |
| 治療費 | 【合計】 140,800円 【内訳】 ファイバーコア 16,500円 仮歯 3,300円 ジルコニアステインクラウン 121,000円 (2024年3月現在) |
| 治療期間 | 約1ヶ月 |
| リスク・副作用 | 硬い素材なので、かみ合わせで接する対合歯(歯)が削れてしまうことがある。 |
| 治療方針 | 前歯なので両隣の歯の色と差が出ないよう綺麗に色が再現できる材料を選択した。 |
| 治療前 | 治療後 | |
|---|---|---|
|
治療後 |
|
| 年齢・性別 | 70歳・男性 |
|---|---|
| 主訴 | 左上45678番。 治療途中の続き希望。 左右でかめるようになりたい。 |
| 治療内容 | 左上4:ジルコニアインレー印象 左上5678:インプラント上部構造ブリッジ印象 |
| 治療費 | 【合計】 621,500円 【内訳】 左上4ジルコニアインレー:49,500円 左上5678インプラント上部構造ブリッジ:572,000円 (2024年7月現在) |
| 治療期間 | 1ヶ月 |
| リスク・副作用 | インプラントは虫歯になりませんが歯周病にはなります。 ジルコニアは透明感がないため審美性は劣りますが、強度が高いため割れるリスクは低いです。 |
| 治療方針 | 左上4のインレーも脱離していたので、虫歯がないか確認後、左上5678と一緒に型どりを行いました。 他院で埋入されたインプラントのためメーカーは不明です。 |
| 特記事項 | ブリッジの部分は、歯間ブラシやスーパーフロスを使うよう指導しました。 |
| 治療期間 | 歯周病にならないようメインテナンスに来てもらい、定期的にインプラントをレントゲンで確認します。 クリーニングはインプラント専用器具を使って行います。 |
| 治療前 | 治療後 | |
|---|---|---|
|
治療後 |
|
| 年齢・性別 | 62歳・男性 |
|---|---|
| 主訴 | 右上の3~左上の3を綺麗にしたい。 |
| 治療内容 | 右上の3~左上の3をジルコニアボンドクラウンにした。 |
| 治療費 | 合計:912,000円 ・内訳 仮歯:2,000円/本×6本=12,000円 ジルコニアボンドクラウン:150,000円/本×6本=900,000円 (2013年7月現在) |
| 治療期間 | 約1ヶ月 |
| リスク・副作用 | ジルコニアボンドクラウンは、 金属単体のクラウンより若干歯を削る量が多い。 ごく稀に割れたり欠けたりすることがある。 |
| 治療方針 | 前歯で目立つ歯なので隣の歯とも色の差が出て不自然にならないよう、自然な色味で作った。 |
| 特記事項 | 虫歯を治してもまた虫歯になる可能性があるので、ブラッシング指導と歯間清掃の指導を行いました。 |
| 治療前 | 治療後 | |
|---|---|---|
|
治療後 |
|
| 年齢・性別 | 61歳・男性 |
|---|---|
| 主訴 | 右上2番から左上5番 他院で治療中の上の前歯の仮歯が頻繁に壊れてその修理ばかりで治療が進まないので、治してほしい。 |
| 治療内容 | 右上2番から左上5番の被せ物治療 |
| 治療費 | 合計:494,100円 内訳 仮歯1,620円/本×7本→11,340円 土台9,720円/本×3本→29,160円(4本は既に土台が出来ていたので当院では行わなかった。) ジルコニアステインクラウン64,800円/本×7本→453,600円 (2019年10月現在) |
| 治療期間 | 約3ヶ月 |
| リスク・副作用 | 強いかみ合わせの力により欠けたり、かみ合う下の歯に負担がかかる可能性、歯根破折の可能性があるので、それらを防ぐために夜間はマウスピースを使用していただく。 |
| 治療方針 | 検査の結果、かみ合わせの高さ(咬合高径)が低すぎるのが原因だと分かった。 新しい仮歯で正しいかみ合わせにしたところ、仮歯が割れたり外れたりすることが無くなった。 経過が良好なことを確認し最終的なかぶせ物と入れ歯を作りました。 ジルコニアステインはグラデーションがつけられるのでその特徴を活かし、周りの歯にも馴染む色で作るよう、色味にもこだわりました。 |
| 特記事項 | 強いかみ合わせの力により欠けたり、かみ合う下の歯に負担がかかる可能性、歯根破折の可能性があるので、それらを防ぐために夜間はマウスピースを使用していただく。 5年経過しているが、虫歯や歯周病、歯根破折もなく経過良好です。 |
| 担当者所見 | 定期検診にも通っていただいているので、その際にかみ合わせのチェックも行っています。 |
| 治療前 | 途中経過 | 治療後 |
|---|---|---|
|
|
|