WEB予約
| 治療期間 | 3ヶ月 |
|---|---|
| 治療内容 | デュアルホワイトニング+オールセラミック |
| 治療本数 | 2本 |
| 治療費用 | デュアルホワイトニング(77,000円)+オールセラミック(110,000円×2本) |
| リスク・副作用 | 知覚過敏を起こす可能性あり |
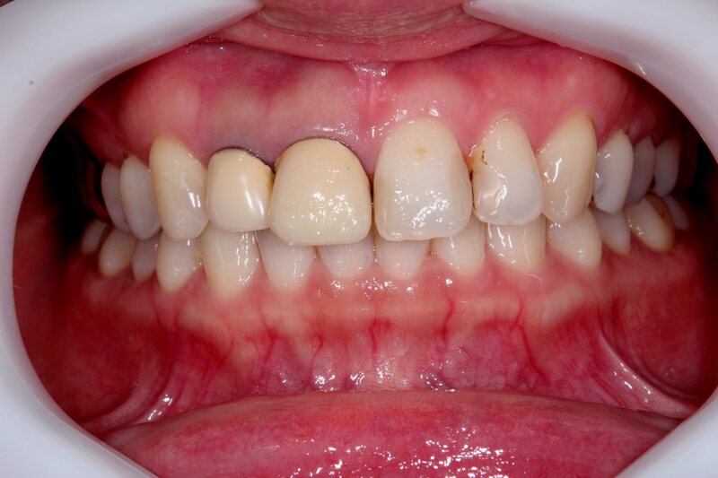
| 術前 | 術後 | |||
|---|---|---|---|---|
![]() |
以前にメタルボンドセラミックにて前歯を治していますが、金属のラインがでて来たのでやりかえたいとの主訴で来院されました。 | 術後 | ![]() |
まず、ホームホワイトニングとオフィスホワイトニングで歯全体の色を白く仕上げました。その間は、仮歯を用いて目立たなくしておき、最終的な周りの色が決定してから、オールセラミックの治療を行いました。 |
| 以前にメタルボンドセラミックにて前歯を治していますが、金属のラインがでて来たのでやりかえたいとの主訴で来院されました。 | まず、ホームホワイトニングとオフィスホワイトニングで歯全体の色を白く仕上げました。その間は、仮歯を用いて目立たなくしておき、最終的な周りの色が決定してから、オールセラミックの治療を行いました。 |
| 治療期間 | 2ヶ月 |
|---|---|
| 治療内容 | オールセラミック |
| 治療本数 | 3本 |
| 治療費用 | オールセラミック(110,000円×3本) |
| リスク・副作用 | 知覚過敏を起こす可能性あり |
| 術前 | 術後 | |||
|---|---|---|---|---|
![]() |
左上1番の色が気になる事を主訴に来院された患者様になります。 | 術後 | ![]() |
前歯3本の治療をオールセラミックを用いて行いました。 |
| 左上1番の色が気になる事を主訴に来院された患者様になります。 | 前歯3本の治療をオールセラミックを用いて行いました。 |
| 治療期間 | 3ヶ月 |
|---|---|
| 治療内容 | デュアルホワイトニング+オールセラミック |
| 治療本数 | 12本 |
| 治療費用 | デュアルホワイトニング(77,000円)+オールセラミック(110,000×12本) |
| リスク・副作用 | 知覚過敏を起こす可能性あり |
| 術前 | 術後 | |||
|---|---|---|---|---|
![]() |
本当なら矯正を行いたいが、時間がかかることと装置を付けることが嫌だという主訴で来院された患者様になります。 | 術後 | ![]() |
全顎的なホワイトニングで、色のトーンを上げて、その後に前歯上下6本をオールセラミックにて修復しました。 |
| 本当なら矯正を行いたいが、時間がかかることと装置を付けることが嫌だという主訴で来院された患者様になります。 | 全顎的なホワイトニングで、色のトーンを上げて、その後に前歯上下6本をオールセラミックにて修復しました。 |
| 治療期間 | 2ヶ月 |
|---|---|
| 治療内容 | ジルコニアボンド |
| 治療本数 | 3本 |
| 治療費用 | ジルコニアボンド(165,000円×3本) |
| リスク・副作用 | 知覚過敏を起こす可能性あり |
| 術前 | 術後 | |||
|---|---|---|---|---|
![]() |
右上の3番目にブリッジが入っていました。こちらのブリッジのポンティックの形態が気に入らないとのことで来院された患者様です。 | 術後 | ![]() |
右上のブリッジを除去して仮歯に置き換えて、歯肉やかみ合わせに問題ないか確認を行い、ジルコニアを用いてブリッジで修復しました。 |
| 右上の3番目にブリッジが入っていました。こちらのブリッジのポンティックの形態が気に入らないとのことで来院された患者様です。 | 右上のブリッジを除去して仮歯に置き換えて、歯肉やかみ合わせに問題ないか確認を行い、ジルコニアを用いてブリッジで修復しました。 |
| 治療期間 | 1ヶ月 |
|---|---|
| 治療内容 | ジルコニアブリッジ |
| 治療本数 | 3本 |
| 治療費用 | ジルコニアブリッジ(165,000×3本) |
| リスク・副作用 | 知覚過敏を起こす可能性あり |
| 術前 | 術後 | |||
|---|---|---|---|---|
![]() |
右下7番、6番、5番のブリッジ脱離にて当医院に来院されました。 | 術後 | ![]() |
仮歯を製作して、かみ合わせが安定してからブリッジをセットしました。 |
| 右下7番、6番、5番のブリッジ脱離にて当医院に来院されました。 | 仮歯を製作して、かみ合わせが安定してからブリッジをセットしました。 |
| 治療期間 | 1ヶ月 |
|---|---|
| 治療内容 | デュアルホワイトニング |
| 治療本数 | 全顎 |
| 治療費用 | デュアルホワイトニング(77,000円) |
| リスク・副作用 | 知覚過敏を起こす可能性あり |
| 術前 | 術後 | |||
|---|---|---|---|---|
![]() |
歯の色が気になるとのことで来院された患者様になります。 | 術後 | ![]() |
ホワイトニングでシェードもB1に近くまで白くなったと思われます。 |
| 歯の色が気になるとのことで来院された患者様になります。 | ホワイトニングでシェードもB1に近くまで白くなったと思われます。 |
| 治療期間 | 1ヶ月 |
|---|---|
| 治療内容 | インプラント・メタルボンド・保険 |
| 治療本数 | 20本 |
| 治療費用 | インプラント(330,000×4本)+メタルボンド(165,000×6本)+保険治療 |
| リスク・副作用 | 知覚過敏を起こす可能性あり |
| 術前 | 術後 | |||
|---|---|---|---|---|
![]() |
歯の色が気になるとのことで来院された患者様になります。 | 術後 | ![]() |
来院された際は、虫歯がひどい状態でしたが、治療を行い、奥歯でも咬めるようになり、前歯の見た目も回復することができ患者様の満足を得た症例です。 |
| 歯の色が気になるとのことで来院された患者様になります。 | 来院された際は、虫歯がひどい状態でしたが、治療を行い、奥歯でも咬めるようになり、前歯の見た目も回復することができ患者様の満足を得た症例です。 |
| 治療期間 | 1ヶ月 |
|---|---|
| 治療内容 | ホームホワイトニング |
| 治療本数 | 全顎 |
| 治療費用 | ホームホワイトニング(11,000円) |
| リスク・副作用 | 知覚過敏を起こす可能性あり |
| 術前 | 術後 | |||
|---|---|---|---|---|
![]() |
歯の色を白くしたいが主訴で来院された患者様になります。 | 術後 | ![]() |
ホームホワイトニングを選択され、ご自分で白さを調整された患者様になります。 |
| 歯の色を白くしたいが主訴で来院された患者様になります。 | ホームホワイトニングを選択され、ご自分で白さを調整された患者様になります。 |
| 治療期間 | 1ヶ月 |
|---|---|
| 治療内容 | デュアルホワイトニング |
| 治療本数 | 全顎 |
| 治療費用 | デュアルホワイトニング(77,000円) |
| リスク・副作用 | 知覚過敏を起こす可能性あり |
| 術前 | 術後 | |||
|---|---|---|---|---|
![]() |
テトラサイクリン系の着色があり、色を出来るだけ白くしたいという患者様でした。テトラサイクリン系の着色は、全て白くは無理ですが、可能な限り白くしましょうということで、ホワイトニングを開始しました。 | 術後 | ![]() |
ホームホワイトニングとオフィスホワイトニングで可能な限り白くしてみました。患者様はしみるとのことで途中つらい時もあったと思いますが、良く頑張りました。 |
| テトラサイクリン系の着色があり、色を出来るだけ白くしたいという患者様でした。テトラサイクリン系の着色は、全て白くは無理ですが、可能な限り白くしましょうということで、ホワイトニングを開始しました。 | ホームホワイトニングとオフィスホワイトニングで可能な限り白くしてみました。患者様はしみるとのことで途中つらい時もあったと思いますが、良く頑張りました。 |
| 治療期間 | 3週間 |
|---|---|
| 治療内容 | ジルコニアボンド |
| 治療本数 | 1本 |
| 治療費用 | ジルコニアボンド(165,000円) |
| リスク・副作用 | 知覚過敏を起こす可能性あり |
| 術前 | 術後 | |||
|---|---|---|---|---|
![]() |
前歯から数えて4番目の歯は、保険ですと銀歯になってしまいます。確かに笑うと見えるので気になりますね。患者様は、やはり笑うと気になるので白い歯にしたいとのことで来院されました。 | 術後 | ![]() |
オールセラミッククラウンで綺麗に仕上げた症例になります。患者様も大満足だと思います。 |
| 前歯から数えて4番目の歯は、保険ですと銀歯になってしまいます。確かに笑うと見えるので気になりますね。患者様は、やはり笑うと気になるので白い歯にしたいとのことで来院されました。 | オールセラミッククラウンで綺麗に仕上げた症例になります。患者様も大満足だと思います。 |
| 治療期間 | 3週間 |
|---|---|
| 治療内容 | デュアルホワイトニング |
| 治療本数 | 1本 |
| 治療費用 | デュアルホワイトニング(77,000円) |
| リスク・副作用 | 知覚過敏を起こす可能性あり |
| 術前 | 術後 | |||
|---|---|---|---|---|
![]() |
歯の色を明るくしたいと来院された患者様になります。 | 術後 | ![]() |
ホワイトニングで綺麗な白い歯を手に入れた状態になります。 |
| 歯の色を明るくしたいと来院された患者様になります。 | ホワイトニングで綺麗な白い歯を手に入れた状態になります。 |
| 治療期間 | 3週間 |
|---|---|
| 治療内容 | オフィスホワイトニング |
| 治療本数 | 全顎 |
| 治療費用 | オフィスホワイトニング(16,500円/5回) |
| リスク・副作用 | 知覚過敏を起こす可能性あり |
| 術前 | 術後 | |||
|---|---|---|---|---|
![]() |
前歯の色が気になると来院された患者様になります。 | 術後 | ![]() |
歯を削りたくないとのことでしたので、ホワイトニングで白い歯に仕上げました。 |
| 前歯の色が気になると来院された患者様になります。 | 歯を削りたくないとのことでしたので、ホワイトニングで白い歯に仕上げました。 |
| 治療期間 | 3ヶ月 |
|---|---|
| 治療内容 | 根の治療、オフィスホワイトニング、オールセラミック |
| 治療本数 | 4本 |
| 治療費用 | オフィスホワイトニング(16,500円/5回)+オールセラミック(110,000×4本) |
| リスク・副作用 | 知覚過敏を起こす可能性あり |
| 術前 | 術後 | |||
|---|---|---|---|---|
![]() |
3番目の歯がもともと欠損している患者様で、歯の色や形態に関して気になるとのことで来院されました。 | 術後 | ![]() |
ホワイトニングとオールセラミックにて自然に仕上げてみました。術前に計画した通りの形態になり、患者様も満足かと思います。 |
| 3番目の歯がもともと欠損している患者様で、歯の色や形態に関して気になるとのことで来院されました。 | ホワイトニングとオールセラミックにて自然に仕上げてみました。術前に計画した通りの形態になり、患者様も満足かと思います。 |
| 治療期間 | 2週間 |
|---|---|
| 治療内容 | ホームホワイトニング |
| 治療本数 | 全顎 |
| 治療費用 | ホームホワイトニング(11,000円) |
| リスク・副作用 | 知覚過敏を起こす可能性あり |
| 術前 | 術後 | |||
|---|---|---|---|---|
![]() |
歯を白くしたいという希望でいらした患者様になります。 | 術後 | ![]() |
ホームホワイトニングで白く仕上げた患者様になります。 |
| 歯を白くしたいという希望でいらした患者様になります。 | ホームホワイトニングで白く仕上げた患者様になります。 |
| 治療期間 | 1ヶ月 |
|---|---|
| 治療内容 | デュアルホワイトニング |
| 治療本数 | 全顎 |
| 治療費用 | デュアルホワイトニング(77,000円) |
| リスク・副作用 | 知覚過敏を起こす可能性あり |
| 術前 | 術後 | |||
|---|---|---|---|---|
![]() |
歯の色を白くしたいと来院された患者様になります。 | 術後 | ![]() |
すごく色が変わったのが、わかるかと思います。デュアルホワイトニングで奥歯まで白くしたケースになります。 |
| 歯の色を白くしたいと来院された患者様になります。 | すごく色が変わったのが、わかるかと思います。デュアルホワイトニングで奥歯まで白くしたケースになります。 |
| 治療期間 | 2ヶ月 |
|---|---|
| 治療内容 | オールセラミック |
| 治療本数 | 4本 |
| 治療費用 | オールセラミック(110,000円×4本) |
| リスク・副作用 | 知覚過敏を起こす可能性あり |
| 術前 | 術後 | |||
|---|---|---|---|---|
![]() |
前歯2本のかぶせ物をやりかえたいとの主訴で来院された患者様になります。 | 術後 | ![]() |
結局前歯4本をオールセラミックで修正することになりました。出っ歯も治り非常に綺麗な仕上がりになったと思います。 |
| 前歯2本のかぶせ物をやりかえたいとの主訴で来院された患者様になります。 | 結局前歯4本をオールセラミックで修正することになりました。出っ歯も治り非常に綺麗な仕上がりになったと思います。 |
| 治療期間 | 2ヶ月 |
|---|---|
| 治療内容 | オールセラミック、オフィスホワイトニング |
| 治療本数 | 3本 |
| 治療費用 | オールセラミック(110,000円×3本)+オフィスホワイトニング(16,500円/5回) |
| リスク・副作用 | 知覚過敏を起こす可能性あり |
| 術前 | 術後 | |||
|---|---|---|---|---|
![]() |
前歯のかぶせ物を新しくしたいということで、来院された患者様になります。 | 術後 | ![]() |
前歯のかぶせ物3本をオールセラミックで修正し、ホワイトニングも行いました。 |
| 前歯のかぶせ物を新しくしたいということで、来院された患者様になります。 | 前歯のかぶせ物3本をオールセラミックで修正し、ホワイトニングも行いました。 |
| 治療期間 | 1ヶ月 |
|---|---|
| 治療内容 | オフィスホワイトニング、オールセラミック |
| 治療本数 | 4本 |
| 治療費用 | オフィスホワイトニング(16,500円/5回)+オールセラミック(110,000円×4本) |
| リスク・副作用 | 知覚過敏を起こす可能性あり |
| 術前 | 術後 | |||
|---|---|---|---|---|
![]() |
前歯を綺麗にしたいという主訴で来院された患者様になります。現在は、CR(プラスティックの保険のつめ物)が入っている状態になります。 | 術後 | ![]() |
オールセラミックを4本とホワイトニングで綺麗に仕上がりました。 |
| 前歯を綺麗にしたいという主訴で来院された患者様になります。現在は、CR(プラスティックの保険のつめ物)が入っている状態になります。 | オールセラミックを4本とホワイトニングで綺麗に仕上がりました。 |
| 治療期間 | 3ヶ月 |
|---|---|
| 治療内容 | オフィスホワイトニング、オールセラミック |
| 治療本数 | 6本 |
| 治療費用 | ホームホワイトニング(11,000円)+オールセラミック(110,000円×6本) |
| リスク・副作用 | 知覚過敏を起こす可能性あり |
| 術前 | 術後 | |||
|---|---|---|---|---|
![]() |
上の前歯のでこぼこな状態を白くしたいとのことで来院された患者様になります。 | 術後 | ![]() |
オールセラミック6本で非常に綺麗な仕上がりになったと思います。やはり6前歯を行うと見違えるように違いますね! |
| 上の前歯のでこぼこな状態を白くしたいとのことで来院された患者様になります。 | オールセラミック6本で非常に綺麗な仕上がりになったと思います。やはり6前歯を行うと見違えるように違いますね! |
| 治療期間 | 6ヶ月 |
|---|---|
| 治療内容 | オールセラミック、インプラント |
| 治療本数 | 24本 |
| 治療費用 | オールセラミック(110,000円×20本)+インプラント(330,000円×4本) |
| リスク・副作用 | 知覚過敏を起こす可能性あり |
| 術前 | 術後 | |||
|---|---|---|---|---|
![]() |
全ての歯を綺麗にしたいという主訴で来院された患者様になります。インプラントも何本か埋入されており、お口も斜めに歯が曲がっている状態でした。 | 術後 | ![]() |
オールセラミック、インプラントを用いて、患者様のお口の中をまずは仮歯で安定を図ってから、最終的な型採りを行い完成した症例になります。 |
| 全ての歯を綺麗にしたいという主訴で来院された患者様になります。インプラントも何本か埋入されており、お口も斜めに歯が曲がっている状態でした。 | オールセラミック、インプラントを用いて、患者様のお口の中をまずは仮歯で安定を図ってから、最終的な型採りを行い完成した症例になります。 |
| 治療期間 | 1ヶ月 |
|---|---|
| 治療内容 | ホワイトニング、オールセラミック |
| 治療本数 | 2本 |
| 治療費用 | ホームホワイトニング(11,000円)+オールセラミック(110,000円×2本) |
| リスク・副作用 | 知覚過敏を起こす可能性あり |
| 術前 | 術後 | |||
|---|---|---|---|---|
![]() |
前歯の段差をなくしたいという主訴で来院されました。 | 術後 | ![]() |
ホワイトニングも行い、前歯2本をオールセラミックにて綺麗に仕上げました。 |
| 前歯の段差をなくしたいという主訴で来院されました。 | ホワイトニングも行い、前歯2本をオールセラミックにて綺麗に仕上げました。 |
| 治療期間 | 3ヶ月 |
|---|---|
| 治療内容 | オールセラミック・ジルコニアセラミック |
| 治療本数 | 17本 |
| 治療費用 | オールセラミック(110,000円×12本)+ジルコニアボンド(165,000円×5本) |
| リスク・副作用 | 知覚過敏を起こす可能性あり |
| 術前 | 術後 | |||
|---|---|---|---|---|
![]() |
金属のラインが、気になるので作り直してほしいとのことで来院された患者様になります。 | 術後 | ![]() |
金属を用いたラインがでないように、前歯部はオールセラミックと臼歯部はジルコニアセラミックを用いて修復を行いました。 |
| 金属のラインが、気になるので作り直してほしいとのことで来院された患者様になります。 | 金属を用いたラインがでないように、前歯部はオールセラミックと臼歯部はジルコニアセラミックを用いて修復を行いました。 |
| 治療期間 | 3ヶ月 |
|---|---|
| 治療内容 | オールセラミッククラウン+ホワイトニング |
| 治療本数 | 2本 |
| 治療費用 | オールセラミック110,000円×2本+オフィスホワイトニング16,500円(5回) |
| リスク・副作用 | 知覚過敏を起こす可能性あり |
| 術前 | 術後 | |||
|---|---|---|---|---|
![]() |
以前より、ずっとコンプレックスに感じていた前歯を綺麗にしたい。」というのが主訴の患者様でした。前歯の着色と形態に問題がありますね。 | 術後 | ![]() |
ホワイトニングを行い、周りの色を白く変えていきました。あまり白くしたくないとのことでしたので、ある程度の色でかぶせ物のオールセラミックに入りました。仕上がりは、満足のいく出来と思われます。 |
| 以前より、ずっとコンプレックスに感じていた前歯を綺麗にしたい。」というのが主訴の患者様でした。前歯の着色と形態に問題がありますね。 | ホワイトニングを行い、周りの色を白く変えていきました。あまり白くしたくないとのことでしたので、ある程度の色でかぶせ物のオールセラミックに入りました。仕上がりは、満足のいく出来と思われます。 |
| 治療期間 | 3ヶ月 |
|---|---|
| 治療内容 | オールセラミッククラウン+ホワイトニング |
| 治療本数 | 4本 |
| 治療費用 | オールセラミック110,000円×4本+オフィスホワイトニング16,500円(5回) |
| リスク・副作用 | 知覚過敏を起こす可能性あり |
| 術前 | 術後 | |||
|---|---|---|---|---|
![]() |
初診時に歯が黄色い事と左前歯の出っ歯が気になるということが主訴で来院されました。 患者様には、ホワイトニングと前歯2本を綺麗に仕上げましょうとカウンセリングを行い治療を開始しました。 | 術後 | ![]() |
ホワイトニングを行い、暗い前歯を明るくしました。明るくした色に合わせて、前歯をオールセラミックで仕上げました。患者様も仕上がり満足でした。 |
| 初診時に歯が黄色い事と左前歯の出っ歯が気になるということが主訴で来院されました。 患者様には、ホワイトニングと前歯2本を綺麗に仕上げましょうとカウンセリングを行い治療を開始しました。 | ホワイトニングを行い、暗い前歯を明るくしました。明るくした色に合わせて、前歯をオールセラミックで仕上げました。患者様も仕上がり満足でした。 |
| 年齢・性別 | 40代・女性 |
|---|---|
| 治療期間 | 2週間 |
| 治療内容 | ホームホワイトニング |
| 治療費用 | 11,000 円 |
| リスク・副作用 | 知覚過敏を起こす可能性あり |
| 術前 | 術後 | |
|---|---|---|
![]() |
術後 | ![]() |
| 年齢・性別 | 54代・女性 |
|---|---|
| 治療期間 | 1ヶ月 |
| 治療内容 | プレミアムCr2本 |
| 治療費用 | 330,000円 |
| リスク・副作用 | 欠けてしまう可能性がある |
| 術前 | 術後 | |
|---|---|---|
![]() |
術後 | ![]() |
| 年齢・性別 | 23歳・男性 |
|---|---|
| 治療期間 | 2ヶ月 |
| 治療内容 | 左上1番 根管治療、FBコア、 オールセラミックジルコニアボンドクラウン |
| 治療費用 | FBコア(16,500円) オールセラミックジルコニアボンドクラウン (165,000円) |
| リスク・副作用 | 噛み合わせによっては、 セラミック部分が欠けることもあります。 |
| 術前 | 術後 | |||
|---|---|---|---|---|
![]() |
根の先に膿が少し溜まっていたため、根の治療を行い、その後歯の補強のため土台を立てました。 また、今回は1本のみの治療のため、一番色の再現性が高いオールセラミックジルコニアボンドクラウンで被せものを作成しました。 | 術後 | ![]() |
隣接する歯と色味と形を合わせることができました。患者様も喜ばれていました。 |
| 根の先に膿が少し溜まっていたため、 根の治療を行い、その後歯の補強のため 土台を立てました。 また、今回は1本のみの 治療のため、一番色の再現性が高い オールセラミックジルコニアボンドクラウンで 被せものを作成しました。 |
隣接する歯と色味と形を合わせることができました。 患者様も喜ばれていました。 |
| 年齢・性別 | 47歳・男性 |
|---|---|
| 治療期間 | 2回(約2週間) |
| 主訴と治療部位 | 右上2番詰め物が引っかかるのが気になる |
| 治療内容 | 右上2番 ファイバーコア、ジルコニアステインクラウン |
| 治療費用(税込) | 合計126,500円 ・内訳 ファイバーコア16,500円 ジルコニアステイン110,000円 (2022年12月現在) |
| リスク・副作用 | 強い噛み合わせの力によりかけたり、かみ合う下の歯に負担がかかる可能性がある。 |
| 治療方針 | 定期検診に通って下さる方なので噛み合わせのチェックもおこなっていきます。 右下3番のCRも見た目が気になるようなら保険でやり直しが可能です。 |
| 特記事項 | ジルコニアステインだと1本での色合わせが難しいので、よりきれいさを求めるならジルコニアボンドがおすすめですが今回は患者様のご希望によりジルコニアステインで進めることとなりました。 |
| 担当者所見 | 元々神経治療済の歯で、コンポジットレジンにて隣接面の修復をしてありました。そこが不適合だったためフロスが引っかかりやすくなっていました。 神経を取った歯は割れたり、歯の色が変色したりというリスクがあるのでクラウンで修復することをおすすめしました。 |
| 術前 | 術後 | |
|---|---|---|
![]() |
術後 | ![]() |
| 年齢・性別 | 43歳・女性 |
|---|---|
| 主訴 | 被せ物が劣化し見た目が気になる 笑った時の見た目、色味が気になる |
| 治療部位 | 右上1~3番 左上1~3番 |
| 治療内容 | ジルコニアステインで前歯6本補綴治療 |
| 治療費 | 合計:1,122,000円 ・内訳 ジルコニアステイン:110,000円×6 ファイバーコア:16,500円×6 仮歯:5,500円×6 歯肉形成:110,000×3 (2022年12月現在) |
| 治療期間 | 3ヶ月 |
| リスク・副作用 | 衝撃が加わると被せ物が欠けてしまう可能性がある。 噛み合わせによって下の歯が欠けてしまうことがある。 |
| 治療方針 | 右上1~3番の歯茎のラインに合わせて左上1~3番の歯肉形成を行い見た目を整えた。 仮歯で見た目と噛み合わせを揃え、最終補綴の型取りを行った。 今後は定期検診で歯茎の腫れや噛み合わせ、欠けがないかを確認していく |
![]() |
途中経過 | ![]() |
|---|---|---|
| 治療後 | クラウン | |
![]() |
ジルコニアステイン | ![]() |
| 主訴 | 前歯のかぶせ物の色がきになる |
|---|---|
| 治療期間 | 約2カ月 |
| 治療内容 | 右上1番、2番プレミアムCr、歯冠長延長術 |
| 治療費用 | 合計446,600円 <内訳> 歯冠長延長術55,000円×2本分 ジルコニアボンド165,000円×2本 仮歯3,300円×2本 (2023年1月現在) |
| リスク・副作用 | 強い衝撃やかみ合わせで欠けたり割れてしまう事がある。 |
| 治療方針 | 歯ぐきの高さも気になるという事でしたので一緒に歯冠長延長術も行った。 |
| 特記事項 | 前歯なので仮歯で見た目、噛み合わせ等問題がないか確認をしてから最終的なかぶせ物の型どりを行います。 |
| 担当者所見 | 検診で噛み合わせの確認をしています。 |
| 治療前 | 治療後 | |
|---|---|---|
![]() |
治療後 | ![]() |