WEB予約

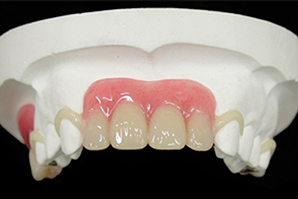
部分入れ歯について

一部の失った歯を補う
「部分入れ歯」

部分入れ歯

人間の歯は、乳歯から永久歯に生え変わります。永久歯に生え変わった後、ひどい虫歯や歯周病になってしまうと、症状によっては歯を失う場合があります。
永久歯の時に歯を失うと、もう代わりとなる歯はありません。
このような場合には、部分入れ歯を使用します。

部分入れ歯(部分義歯)は、歯を一部だけ失った方のための治療法です。残っている健康な歯を活かしながら、失った歯の機能を補うことができます。
ブリッジやインプラントと比べても、多くの方に対応できる万能な方法です。

部分入れ歯は、失った歯の大きさに合わせて作ります。
失った歯の大きさに合わせて作らないと、元の場所に入りません。
そのため、歯と歯の間にある隙間に大きさを合わせ、調整しながら仕上げます。

一般的に部分入れ歯は、引っかけて使うタイプが主流です。
部分入れ歯にはフックが付いているので、このフックを利用して支えとなる歯に引っかけます。
通常、引っかけるフックの部分は、銀色の金具なので少し目立ちます。 この金具が気になる人には、今は色々なタイプの部分入れ歯が利用できるようになっているので、歯科医院で相談すると良いでしょう。

部分入れ歯はこんな方に
おすすめです

数本だけ歯を失ってしまった方

1本~数本の欠損であれば、部分入れ歯でしっかり噛む機能を回復できます。
インプラントやブリッジのように大きな処置が不要です。

残っている歯をできるだけ
削りたくない方

ブリッジは隣の健康な歯を削る必要がありますが、部分入れ歯なら健康な歯をほとんど削らずに製作可能です。
残っている歯を守りながら機能を補えるのが、大きなメリットです。

外科手術に抵抗がある方・
全身疾患がある方

インプラントは手術が必要ですが、部分入れ歯は手術不要で体への負担が少ない治療です。
持病や服薬の影響でインプラントが難しい方にも適しています。

費用をできるだけ抑えたい方

保険でも作成できるため、経済的な負担を軽くすることができます。
まずは保険の入れ歯で慣れてから、自費の快適なタイプへ移行する方もいらっしゃいます。

短期間で歯を入れたい方

ブリッジやインプラントに比べて治療期間が短く、すぐに噛めるようになるのも特徴です。

部分入れ歯の種類

  • 保険の部分入れ歯:
    金属のバネで固定する一般的なタイプ
  • ノンクラスプデンチャー(自費):
    バネがなく、見た目が自然
  • 金属床義歯(自費):
    薄くて丈夫、違和感が少ない

それぞれの特徴・費用・見た目などを比較しながら、患者さんのご希望に合わせて最適な方法をご提案します。

自費治療の部分入れ歯

アタッチメント入れ歯

口腔内の部分入れ歯

アタッチメント入れ歯はクラスプ(留め金具)のないタイプです。
代わりにアタッチメント装置(磁性金属、ボール、ロケーター等)を付けた歯と、入れ歯とを連結します。
装着の違和感が少なく、安定感があり、強く噛めて、審美性が優れています。

部分入れ歯のアタッチメント
義歯
について

コーヌステレスコープ入れ歯

口腔内の部分入れ歯

残っている歯に金属冠をかぶせて、その上から入れ歯を装着するという入れ歯です。
土台になる歯の内冠と、入れ歯の外冠を組み合わせ、はめ込みます。
ドイツで開発され、高い精密技術によって作られ、審美性に優れています。

コーヌス部分入れ歯について

ノンスクラプデンチャー

口腔内の部分入れ歯

ノンスクラプデンチャーは、笑ったときに入れ歯だと分からないのが最大のメリットで、審美性は高水準に優れています。
部分入れ歯によく見られるクラスプ(留め金具)はありません。
入れ歯の素材は、スーパーポリアミドというナイロン樹脂です。
薄くて軽くて弾力があります。

ホワイトクラスプ入れ歯

口腔内の部分入れ歯

ホワイトクラスプは、アセタル樹脂という白いプラスチックのクラスプ(留め具)です。
保険の金属クラスプは見た目が良くないため、それを目立たないようにしたものです。

白須院長からのメッセージ

「部分入れ歯は、“残っている歯を守りながら噛む力を取り戻す”ための大切な治療です。痛い・外れる・見た目が気になるという方も、専門的な調整で驚くほど快適になります。ぜひ一度ご相談ください。」

— 久我山駅前歯科・矯正歯科
院長 白須健一郎
(日本補綴歯科学会専門医・歯学博士)

インプラントと
部分入れ歯の違い

  部分入れ歯 インプラント
見た目 金属のバネが見えることがある。
(自費なら目立たないタイプもある)
天然の歯のように自然。金属のバネが見えない。
費用 保険なら数千円〜1万円台、
自費なら10万円〜数十万円程度。
自費診療のみ。
1本あたり約30〜50万円前後。
治療期間 型取りから完成まで2〜4週間程度。 手術後の骨との結合期間を含め、3〜6か月ほど。
本数が多いと1年ほどかかる事もある。
手術 手術不要。 外科手術が必要。
メンテナンス 取り外して洗浄。毎日のケアがやや手間に。
歯が残っている場合は、毎日のブラッシングと定期的な検診が必要。
歯と同じように毎日のブラッシングと定期的な検診が必要。
装着の違和感 はじめは違和感があるが、慣れれば問題ない。 天然歯に近い感覚。
ほとんど違和感がない。
寿命 約3〜5年(自費製は5〜10年)で作り替えが必要なことがある。 適切なケアで10〜20年以上使用可能。
噛む力 天然歯の約30〜40%程度。 天然歯に近い強さ。
(約80〜90%回復)
残っている歯への影響 バネをかける歯にやや負担がかかる。 両隣の歯を削らない・負担をかけない。
保険適用 保険・自費どちらも選択可。 保険外(自費診療)。
見た目の自由度 素材や構造に制限がある。
(自費では改善可)
色や形を自由に設計可能。

治療を選ぶときのポイント:
白須院長からのメッセージ

「どちらが優れているというよりも、お口の状態やライフスタイルに合う方法を選ぶことが大切です。久我山駅前歯科・矯正歯科では、インプラント・ブリッジ・入れ歯のすべてに対応し、日本補綴歯科学会専門医として、公平な立場から最適な治療法をご提案いたします。」

— 久我山駅前歯科・矯正歯科
院長 白須健一郎
(日本補綴歯科学会専門医・歯学博士)

部分入れ歯の特徴

部分入れ歯は、残っている歯にバネをかけて支えるタイプの義歯です。
外科手術をせずに、失った歯を補うことができます。

部分入れ歯のメリット

  • 保険でも作れるため、
    費用を抑えられる
  • 治療期間が短く、
    早く噛めるようになる
  • 取り外して洗えるため、
    清潔に保ちやすい
  • 手術が不要で、
    どなたでも対応可能

インプラントより部分入れ歯が
向いている方

  • 外科手術を避けたい方
  • 全身疾患や服薬などで
    インプラントが難しい方
  • 費用を抑えて治療したい方
  • 比較的短期間で噛めるように
    なりたい方
  • 残っている歯をなるべく
    削りたくない方

部分入れ歯が不向きな方

  • 見た目の自然さを重視する方
    (※保険の入れ歯では
    金属バネが見える場合あり)
  • 硬いものをしっかり噛みたい方
  • 入れ歯の装着や手入れに
    抵抗がある方

インプラントの特徴

インプラントは、あごの骨にチタン製の人工の歯根を埋め込み、上に人工の歯を取り付ける治療です。見た目も噛み心地も、天然の歯に最も近い方法です。

インプラントのメリット

  • 天然歯のようにしっかり噛める
  • 見た目が自然で美しい
  • 隣の歯を削らずに治療できる
  • 適切にケアすれば10年以上
    長持ち

部分入れ歯よりインプラントが
向いている方

  • 見た目の美しさ・自然さを
    重視したい方
  • 長期間しっかり噛める歯を
    希望する方
  • 健康状態が良好で、外科手術が
    可能な方
  • 毎日のケアを丁寧に行える方

インプラントが不向きな方

  • 重い全身疾患・骨の病気・
    服薬の影響で手術が難しい方
  • 治療期間を短くしたい方
    (※治癒期間を含め
    3〜6か月必要)
  • 費用をできるだけ抑えたい方
インプラントについて

白須院長からのメッセージ

「部分入れ歯もインプラントも、目的は“快適に噛めるようにすること”です。それぞれにメリット・デメリットがありますので、患者さまのご希望とお口の状態を見ながら、最適な治療をご提案いたします。」

— 久我山駅前歯科・矯正歯科
院長 白須健一郎
(日本補綴歯科学会専門医・歯学博士)

入れ歯治療時の
日常生活での注意点

食事の時に気をつけること

食事の時に気をつけること

柔らかいものから慣らす

はじめは歯ぐきが入れ歯に慣れていないため、豆腐・煮物など柔らかい食べ物から始めましょう。

両側でバランスよく噛む

片側だけで噛むと入れ歯が動いて痛みの原因になります。左右の奥歯で均等に噛む意識を持ちましょう。

大きなものは小さく切る

一口サイズを小さくすることで、浮き上がりやズレを防げます。

粘り気の強い食品に注意

お餅・ガムなどはくっつきやすく、入れ歯が外れる原因になることがあります。

会話のときに気をつけること

「サ行」「タ行」などが
言いづらいときは、
ゆっくり発音練習を

新聞を声に出して読む・歌うなども、慣れの練習になります。

日常生活での注意ポイント

日常生活での注意ポイント

清掃を忘れずに

毎食後に外して流水で洗い、夜は義歯洗浄剤に浸けて保管します。

夜は外して休ませる

就寝中は外して、歯ぐきを休ませましょう。
乾燥を防ぐために、水や入れ歯洗浄剤に浸けておきます。

熱湯・乾燥・落下に注意

変形・破損の原因になります。洗うときは水を張った洗面器の上で行いましょう。

違和感・痛みは我慢しない

小さなズレも放置すると炎症や変形の原因になります。早めの調整が、入れ歯を長持ちさせるコツです。

白須院長からのメッセージ

「入れ歯は“作って終わり”ではなく、“育てていく治療”です。使い始めの違和感や小さな不具合も、きちんと調整すれば必ず良くなります。私たちは、患者さまが“またおいしく食事を楽しめるようになる”ことを目指して、一人ひとりに寄り添ったサポートを続けています。
どうぞ安心してご相談ください。」

— 久我山駅前歯科・矯正歯科
院長 白須健一郎
(日本補綴歯科学会専門医・歯学博士)

不慮の事故などで
歯を失った場合の
治療の流れ

不慮の事故などで歯を失った場合の治療の流れ

転倒やスポーツ中のけが、交通事故など、思いがけないタイミングで歯を失ってしまうことがあります。

久我山駅前歯科・矯正歯科では、「今すぐ何をすべきか」「どんな治療が可能か」を明確にご説明し、迅速に対応いたします。

まず何よりも大切なのは
生命・全身の安全を
確保することです

出血が多い・意識がもうろうとしている・頭部や顔面に強い衝撃を受けた場合などは、まず救急外来(医科)を受診してください。 頭部・顔面骨・顎関節の骨折や脳震盪の可能性がある場合、歯科治療よりも医科的な応急処置を優先します。

そのうえで、命に関わる心配がない状態であれば、歯科的な治療(歯の再植・修復・欠損部の回復)を早めに行うことが重要です。

歯科での応急処置(初診時)

医科的な緊急性がないことを確認したうえで、当院では歯・歯ぐき・骨・粘膜の損傷を確認し、以下のような処置を行い
ます。

  1. 歯の再植が可能かの判断
    (抜けた歯を戻せるケースもあります)
  2. 折れた歯の保存・接着修復
  3. 歯ぐき・粘膜の洗浄・縫合・止血
  4. 痛み・腫れの軽減(鎮痛剤・抗生剤の処方)

抜けた歯は、乾燥させずに牛乳や生理食塩水に浸けて持参してください。 根の部分を触らず、可能な限り清潔な状態で保存することが重要です。

根の部分は赤くなっています。これは歯根膜という組織です。これが残っていることがとても大切です。
赤いからと言って、きれいにしようと洗わないでください。そのまま、乾燥させずに持ってきてください。

※頭部の打撲では、唇などの損傷がみられます。損傷が小さかったり浅い場合は、当院で縫合することが出来ます。
一方、皮膚の表層だけでなく筋肉層までの損傷や、見た目をきれいにした方が良い場所の損傷は、形成外科を紹介します。
その際、当院では仮縫合までを行い、本格的な再建は、形成外科で行ってもらいます。

精密検査

再植を行い生着した場合、歯髄の生活反応が無い事が多いので、根管治療後、被せ物を行います。
再植出来なかったり生着しない場合は、歯を失うことになります。

欠損部分の治療法を検討

歯を失った部位・本数・骨の状態などに応じて、次の治療法から最適なものをご提案します。

インプラント 骨に人工歯根を埋め込み、
天然歯のような見た目と噛み心地を再現。
ブリッジ 隣の歯を利用して人工の歯をかける方法。
短期間で治療が完了。
部分
入れ歯
手術不要で費用を抑えられる。
複数本欠損にも対応可能。

各方法の費用・治療期間・長所短所を丁寧に説明し、患者さまの状況に合わせた最善の方法をご一緒に決めていきます。

治療後のメンテナンス

治療が完了しても、歯ぐきや骨は時間とともに変化します。
定期的に経過を観察し、かみ合わせの調整・清掃・予防ケアを行います。

当院では、補綴専門医が長期的なフォローアップを行います。

白須院長からのメッセージ

「事故やケガで歯を失ってしまうと、大きな不安やショックを感じると思います。まずは落ち着いて、“命の安全”を最優先にしてください。医科で全身状態を確認したあと、歯の修復や再建は私たちにお任せください。久我山駅前歯科・矯正歯科では、補綴専門医として、機能・見た目・将来の健康まで考えた治療をご提案いたします。」

— 久我山駅前歯科・矯正歯科
院長 白須健一郎
(日本補綴歯科学会専門医・歯学博士)

若い方の入れ歯治療について

若い方の入れ歯治療について

― 年齢に関係なく、
入れ歯は有効な治療法です ―

「入れ歯は年配の方の治療」というイメージを持たれている方も多いですが、実際には、20代・30代・40代といった若い世代の方でも、さまざまな理由で入れ歯治療を行うケースがあります。

久我山駅前歯科・矯正歯科では、年齢に関係なく、患者さま一人ひとりのお口の状態・ご希望に合わせた最適な入れ歯をご提案しています。

若い方でも入れ歯治療が
必要になる主なケース

  • 交通事故やスポーツ中の外傷・
    打撲で歯を失った
  • 重度の虫歯や歯周病で複数の歯を
    抜かざるを得なかった
  • 先天的に歯が生えてこない
    (先天性欠如)部分がある
  • インプラントやブリッジが
    体質・持病・費用の面で難しい
  • 一時的に歯を補うための
    仮の治療(暫間義歯)として使用

年齢ではなく、「現在のお口の状態」と「生活スタイル」に合わせて選ぶことが大切です。

若い方の入れ歯は、
見た目も自然に

当院では、バネのない「ノンクラスプデンチャー」「アタッチメント入れ歯」「マグネット入れ歯」、少数のインプラントを併用した「インプラント入れ歯」、精密設計の「金属床義歯」など、見た目・装着感・快適性を重視したタイプもご用意しています。

パッと見では入れ歯とわからないほど自然に仕上げることが可能です。

若い方が入れ歯を選ぶメリット

  • 手術が不要で身体への負担が
    少ない
  • 歯を削らずに治療できる
  • 費用を抑えて短期間で
    噛めるようになる
  • 状況に応じて、将来的に
    インプラントやブリッジへ
    移行も可能

久我山駅前歯科・矯正歯科の
こだわり

若い患者さまの場合、「見た目」「違和感」「会話や食事のしやすさ」を特に重視して治療を行います。

当院では、院長(補綴専門医)がかみ合わせ・顔貌・発音まで細かく対応します。入れ歯専門の歯科技工士がオーダーメイドで精密に製作します。

治療後の調整・メンテナンスも長期的にサポートを行い、年齢を問わず“自然に笑顔になれる入れ歯”を目指しています。

白須院長からのメッセージ

「入れ歯は決して“年配の方だけの治療”ではありません。若い方でも、適切に設計すれば見た目も自然で快適に使えます。私たちは“歯を失ったことを感じさせない治療”を目標に、一人ひとりのライフスタイルに合わせた最善の方法をご提案しています。」

— 久我山駅前歯科・矯正歯科
院長 白須健一郎
(日本補綴歯科学会専門医・歯学博士)

部分入れ歯の料金表 (税込)

※現在の治療費と異なる場合がございます。最新の治療費は直接医院へお問合せください。

種類 金額
アタッチメント入れ歯 クラウン
(メタルボンド132,000円/本)
+金属を使用した入れ歯代
+アタッチメント
の数がかかります。
(110,000円✕本数)
コーヌステレスコープ
入れ歯
275,000〜385,000円(/装置)(1歯あたり)
金属を使用した入れ歯代
550,000円
+支えとなる歯の本数
により金額が異なります。
ノンスクラプデンチャー
※欠損の本数よっては
お受けできない場合が
ございます。
例)1~4歯欠損:330,000円
本数 1割負担 2割負担 3割負担
1~4歯 1,400円 2,700円 4,000円
5~8歯 1,800円 3,500円 5,200円
9~11歯 2,100円 4,200円 6,200円
12~13歯 2,600円 5,100円 7,600円

部分入れ歯が合わないと
感じたら早めの調整を

口腔内の部分入れ歯

部分入れ歯は、歯の一部を補うものですが、合わないような時には早めに調整する必要があります。

例えば、入れ歯が当たるような感覚がして、痛みを伴うような場合には、我慢せずに早めに歯科医院へ行って診てもらうようにしましょう。
新しく作ったからと言って、そのまま無理に使い続ける人がいますが、不具合を感じた時には再度調整する必要もあると認識し、そのまま無理して使い続けないように注意しましょう。

もし合わない入れ歯を無理に使い続けると、当たっている歯茎が炎症を起こしてしまう場合があります。
また引っかけている歯まで駄目にしてしまう可能性もあるので、このような事がないように不具合を放置せず、随時調整して行くように気を付けましょう。

また、使いながら欠けてしまった時は、自己判断をせずに早めに歯科医院へ持っていき、入れ歯を確認してもらう事が大切です。