WEB予約
保険診療
4,000円~
5,000円
(保険3割負担)
自由診療
8,800円(税込)
現在のお口の状態を記録するために正面・左右・口を開いた状態で上と下を撮影します。

4項目を確認します。
結果を一覧にした表です。
炎症が起きている場所を確認し、前回の結果と比較して、現在の状態をお伝えします。
歯垢(プラーク)が赤く染まる液体を歯に付けます。
染まった箇所を患者さまと一緒に確認し、ブラッシングのポイントをお伝えします。
自分では気づけないブラッシングの癖や磨けていない箇所が明確にわかるため、普段のご自宅でのケアを充実させることができるでしょう。
先端から超音波を発生させる特殊な器具を用いて、歯の表面や歯ぐきに付着した歯垢・歯石を取り除いていきます。
※口内環境が悪い(歯周病や歯石が多く付いている)場合、痛みを感じることがあります。
※万が一、痛みを強く感じる場合は、衛生士にお伝えください。

歯と歯の間についた歯垢(プラーク)は、歯ブラシでは落とせないため、フロスを使用して除去します。歯ブラシでは60%程度しか汚れを落とすことができません。
歯と歯の間は、フロスや歯間ブラシの使用が必須です。

専用の柔らかいブラシと研磨剤を含むペーストを使用し、歯の表面を磨くことで着色を落とし、表面をツルツルに仕上げていきます。
歯本来の色を取り戻せるとともに歯質の強化にも繋がります。
虫歯予防・歯質強化のためのフッ素を塗布します。
クリーニング後の歯は、プラークがない状態のため、フッ素をしっかりと歯に浸透させることができます。
※塗布後30分は、飲食を控えていただきます。

年に1度、レントゲン撮影をします。
歯と歯の間の虫歯や治療した歯の状態の確認、顎の骨や根の先に炎症がないかなどを診ていきます。
詰め物・被せ物治療をした歯にもまた虫歯はできる可能性があるため、早期発見・早期治療のためにもレントゲン撮影で正確な検査が必要です。
虫歯・歯周病・義歯の状態・舌・粘膜疾患・かみ合わせ・レントゲン画像確認・主訴の確認等
粘膜疾患や病変があった場合には精密な検査が必要となりますが、近隣の大学病院と連携しているため、紹介状の作成や情報提供することも可能です。
また、複雑な根管治療の場合にも根管治療専門医のクリニックへ紹介可能です。
歯と歯ぐきの状態・問題点・改善点や今後の治療予定が分かる説明用紙をお渡しします。
定期検診・クリーニングは3ヵ月に1回のペースで続けることが望ましいです。
(口腔内の状態によって期間が変わる場合もあります。)

※歯科医院で行うホワイトニングの施術

※ご自宅でできるホワイトニング

定期検診では歯に付着した着色を落としますが、ホワイトニングのように白くすることはできません。
歯を白くしたい方は、ホワイトニングをおこなうことで希望の色味に近づけることができます。
歯科医院で歯のクリーニング(定期検診)を受診したことがありますか?
日頃の歯ブラシで落とせる歯の汚れは約60%前後だと言われています。
毎日の歯ブラシケアで残った約40%の汚れが蓄積することで、虫歯や歯周病などお口のトラブルを引き起こす原因になります。
また、蓄積された汚れ(プラーク)が唾液中のミネラルと結合することで歯石になります。
残念ながら一度できた歯石は、歯ブラシで落とすことができません。
歯科医院の定期検診(クリーニング)を受診することで、蓄積してできた歯石を取り除く、虫歯の早期発見など、虫歯・歯周病予防にもつながります。
歯の表面がツルツルになることで歯ブラシでは感じることのない、口内の爽快感も味わうことができます。
まる歯のスタッフが、患者さまのお口の健康を守るお手伝いをします。
A.歯のクリーニングは、歯垢・歯石の除去、着色を除去することで、歯本来の白さを取り戻すことができますが、歯の色を白くすることはできません。
歯本来の色よりも白くしたい場合は、ホワイトニングをあわせることで希望の色味に近づけることができます。
A.痛みが出ないように施術を進めています。
しかし、使用する器具から水がでるため知覚過敏の症状で歯がしみることがあります。
また、歯周病が進行していた場合は、歯ぐきの中の歯石を取り除く際に痛みを感じる方もいます。
少しでも「痛い」と感じたら、歯科衛生士にご相談ください。
A.通常は、3ヵ月~6ヵ月に一度です。
しかし、日頃の歯磨きの仕方(磨き残し等)や歯並び等によりお口の中の状態は異なります。
そのため、クリーニングに通う頻度も患者さま一人ひとりによって変わってきます。
お口の中の状態を確認し、歯科衛生士から詳しくご説明します。
A.目的が異なります。
治療を目的とした歯石除去などの場合は、保険診療。
予防を目的とした場合は、自由診療になります。
A.男性・女性に関わらず、予防歯科の観点からクリーニングを受診される方も多くなっています。
また、ホワイトニングも男性の患者さまから好評の施術の一つです。
まず歯周ポケットの数値を測り出血を確認していきます。
超音波の機械を使用し歯石を除去します。
前歯の裏にある大きな歯石を超音波という機械を使い除去しました。
超音波という機械を使うことで歯を削るのではなくお水と振動で歯石だけを剥がすことができます。
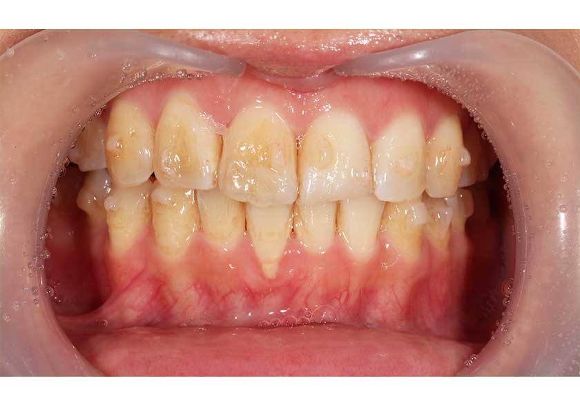
| 年齢・性別 | 50代・男性 |
|---|---|
| 治療方針 | 着色が気になるので2か月ごとに クリーニングを継続していく |
| 治療期間 | 1回 |
| 治療内容 | スケーリング、PMTC |
| 治療費用 | 約4,000円(保険適用) |
| リスク・副作用 | 知覚過敏 |
| 特記事項 | 前回の検診から2か月で着色が気になってきたので 3か月の検診を前倒しで行った。 タバコをやめられないそう。 |
| 担当者所見 | 着色以外にもタバコの悪影響など伝え、 少しでも減煙するお手伝いができればと思います。 |
| 術前 | 術後 | |
|---|---|---|
![]() |
術後 | ![]() |
| 年齢・性別 | 53歳・女性 |
|---|---|
| 主訴 | 右上臼歯違和感 |
| 治療期間 | 1ヶ月 |
| 治療内容 | スケーリング、TBI |
| 治療費用 | 約3,240円(保険適用、3割負担) |
| リスク・副作用 | 知覚過敏、歯肉の出血、歯肉の痛み |
| 術前 | 術後 | |
|---|---|---|
![]() |
術後 | ![]() |
| 年齢・性別 | 47歳・男性 |
|---|---|
| 主訴 | 定期検診 |
| 治療期間 | 1回 |
| 治療内容 | スケーリング、PMTC |
| 治療費用 | 約4,390円(保険適用) |
| リスク・副作用 | 知覚過敏 |
| 治療方針 | 継続的な検診とクリーニング |
| 担当者所見 | 下顎の前歯がやや叢生気味なので歯石がつきやすい。 歯みがき指導を行った。 |
| 術前 | 術後 | |
|---|---|---|
![]() |
術後 | ![]() |
| 年齢・性別 | 30歳・女性 |
|---|---|
| 主訴 | 着色を取ってほしい。 特にマウスピース矯正のアタッチメント周り。 |
| 治療期間 | 1日 |
| 治療内容 | クリーニング |
| 治療費用 | 約2,000円(保険適用) (2022年6月現在) |
| リスク・副作用 | 知覚過敏。 またコーヒーなど飲まれると着色ついてくる。 |
| 担当者所見 | 隣接面の着色も気にされていたので、研磨剤をつけてフロスで除去しました。 |
| 術前 | 術後 | |
|---|---|---|
![]() |
術後 | ![]() |
| 年齢・性別 | 50歳・女性 |
|---|---|
| 主訴 | 歯頸部の着色が気になる 前歯6本 口蓋側 |
| 治療期間 | 1日 |
| 治療内容 | 超音波スケーラーとブラシコーンで除去 |
| 治療費用 | 約4,000円(保険適用) (2022年6月現在) 定期検診でのクリーニング |
| リスク・副作用 | 特にありません |
| 術前 | 術後 | |
|---|---|---|
![]() |
術後 | ![]() |
| 年齢・性別 | 50歳・男性 |
|---|---|
| 主訴 | 前歯の着色 |
| 治療期間 | 1日 |
| 治療内容 | 超音波スケーラーとブラシを使用しPMTCを行いました。 |
| 治療費用 | 4,000円(保険適用) (2022年6月現在) |
| リスク・副作用 | 特にありません |
| 術前 | 術後 | |
|---|---|---|
![]() |
術後 | ![]() |
| 年齢・性別 | 53歳・男性 |
|---|---|
| 主訴 | クリーニング希望 |
| 治療期間 | 2回 |
| 治療内容 | スケーリング、PMTC |
| 治療費用 | 保険内で検査代含め約5,000円(2022年6月現在) |
| 治療方針 | 今後は検診で歯ブラシ指導を行っていく。 |
| リスク・副作用 | 知覚過敏、歯肉退縮、出血 |
| 術前 | 術後 | |
|---|---|---|
![]() |
術後 | ![]() |
| 年齢・性別 | 30歳・女性 |
|---|---|
| 主訴 | 定期検診とブラッシング指導 |
| 治療期間 | 1日 |
| 治療内容 | TBI、クリーニング |
| 治療費用 | 保険内で検査代含め約3,240円(2022年8月現在) |
| 治療方針 | 今後、クリーニングと歯ブラシ指導を継続していく。 |
| リスク・副作用 | 知覚過敏、歯肉退縮 |
| 担当者所見 | TBIを行い、約2週間後に口腔内を確認したところ磨き残しが少なくなり歯肉腫脹も落ち着いてきた。継続していただく。 |
| 術前 | 術後 | |
|---|---|---|
![]() |
術後 | ![]() |
| 年齢・性別 | 60歳・男性 |
|---|---|
| 主訴 | 10年ぶりにクリーニングを希望 |
| 治療期間 | 1週間 |
| 治療内容 | 全顎スケーリング、フロス、ブラシコーンで着色除去、ラバーカップで研磨、フッ素塗布 |
| 治療費用 | 合計2,000円(2022年7月現在) |
| リスク・副作用 | 知覚過敏 |
| 術前 | 術後 | |
|---|---|---|
![]() |
術後 | ![]() |
| 年齢・性別 | 32歳・男性 |
|---|---|
| 主訴 | 定期検診希望 |
| 治療期間 | 1回60分 |
| 治療内容 | 検査、スケーリング、PMTC |
| 治療費用 | 保険内で約4,000円(2022年7月現在) |
| リスク・副作用 | 知覚過敏、出血 |
| 治療方針 | 毎回半年以上開けての検診となっているので、3~6ヶ月ごとの検診をおすすめしました。 |
| 担当者所見 | 着色が気になるようなら3ヶ月で検診がおすすめです。 |
| 術前 | 術後 | |
|---|---|---|
![]() |
術後 | ![]() |
| 年齢・性別 | 72歳・男性 |
|---|---|
| 主訴 | 定期検診希望 着色気になる |
| 治療期間 | 60分 |
| 治療内容 | 全顎保険内で定期検診とクリーニング(スケーリング、PMTC) |
| 治療費用 | 約4,000円(2022年11月現在) |
| リスク・副作用 | スケーリングをすると知覚過敏を起こして凍みる場合がある。歯が長く見えることがある。 |
| 治療方針 | 今後も定期検診で予防しつつ、歯石や着色を落していきます。 |
| 担当者所見 | コーヒーを飲まれるのでまた着色が付いてくるので定期的に落としていく。着色をつきにくくする歯磨き粉もおすすめしました。 |
| 術前 | 術後 | |
|---|---|---|
![]() |
術後 | ![]() |
| 年齢・性別 | 22歳・男性 |
|---|---|
| 主訴 | 右上1~3番 左上1~3番 口蓋側の着色 |
| 治療期間 | 1日 |
| 治療内容 | 全顎保険内で定期検診とクリーニング(スケーリング、PMTC) |
| 治療費用 | 約4,050円(保険適用) (2022年12月現在) |
| リスク・副作用 | ・コーヒーを好まれているので飲む頻度を減らさないと再付着してしまう。 ・口腔内が乾燥するとステインが付着しやすくなってしまう ・一本一本丁寧に磨かないとプラークが残り再付着の原因になる |
| 治療方針 | 粗めの研磨用ペーストを用いてブラシで磨きステインを除去。歯間の細かい部分は超音波スケーラーを使用して除去。 最後に再付着防止のためにトリートメントペーストを用いて仕上げ研磨をする |
| 担当者所見 | 今後は着色防止の歯磨き粉を併用してもらいステイン防止をしてもらう。 着色が細かいのでエアフローを用いて細かい溝のステインも除去していきたい。 |
| 術前 | 術後 | |
|---|---|---|
![]() |
術後 | ![]() |
| 年齢・性別 | 49歳・男性 |
|---|---|
| 主訴 | 着色が気になる、クリーニング希望 |
| 治療期間 | 1回60分 |
| 治療内容 | 定期検診のクリーニング (スケーリング PMTC) |
| 治療費用 | 約4,000円(保険適用) (2023年1月現在) |
| リスク・副作用 | 一時的な知覚過敏を起こすことがある。 歯茎が退縮して長く見えることがある。 |
| 治療方針 | 継続的な検診とクリーニング |
| 担当者所見 | コーヒーを1日2杯以上は飲むのとのこと、前歯がやや叢生なので着色がつきやすい。歯ブラシが当たりづらい部分はタフトブラシなどで磨いていただく。 着色の付きにくくなる歯磨き粉などを使ってみてもよさそう。 |
| 術前 | 術後 | |
|---|---|---|
![]() |
術後 | ![]() |
| 年齢・性別 | 52歳・男性 |
|---|---|
| 主訴 | 右下1~3番左下1~3番のヤニを取りたい |
| 治療期間 | 1回60分 |
| 治療内容 | 超音波スケーラーと粒子の粗いペーストを用いて除去 |
| 治療費用 | 約4,040円(保険適用) (2023年3月現在) |
| リスク・副作用 | 歯茎付近の汚れを取る際に器具が歯肉触れて退縮し冷たいものがしみる可能性がある。 |
| 治療方針 | 歯ブラシを歯1本ずつ縦にあてて丁寧に磨く。 再付着を防ぐよう色の濃いものや喫煙を避ける必要がある。 着色予防の歯磨き粉の使用を勧めた。 定期検診でのクリーニングを継続する。 |
| 特記事項 | お茶やたばこ、コーヒーなど日常的に口にすると再度ヤニ・ステインが再付着してしまう。 |
| 担当者所見 | 叢生部分(歯が重なっている部分)は特に汚れが取りにくくプラークが停滞し着色・歯石が付着しやすいので1本ずつ丁寧に磨くよう心掛けてもらう。 今後もメインテナンスで除去していく。咬合面など細かい部分はエアフローも併用していく必要がある。 |
| 術前 | 術後 | |
|---|---|---|
![]() |
術後 | ![]() |
| 年齢・性別 | 34歳・女性 |
|---|---|
| 主訴 | 歯ぐきからの出血が止まらない |
| 治療期間 | 約1ヶ月 |
| 治療内容 | 歯周基本治療 (スケーリング、TBI、SRP等) |
| 治療費用 | 保険内で合計約5,000円程度 (2023年4月現在) |
| リスク・副作用 | 歯ぐきの中まで掃除をしているので、出血や痛みが出る場合がある。 歯ぐきが引き締まってくると歯が長く見えることがある。 歯の根元が露出するため、歯がしみてくることがある。 |
| 治療方針 | これまで1ヶ月に1度、歯ブラシ指導をしながらクリーニングを行っていたが変化は見られず。 そのため、全体的に歯肉縁下歯石のあるところを除去した。 |
| 特記事項 | 当医院で歯ブラシをするときは上手に当てられているので、ご自宅でも同じように磨いていただく。 |
| 担当者所見 | 小さなお子さまがいるため、お子さま中心の生活になってしまうとのこと。 ご自身の歯磨きにあまり時間が取れないことも多い。 1日1回でもいいので、なるべく長めに磨いて全体の細かい汚れを落とせるようにしていただき、クリーニングは状態をみて間隔を少しずつ開けていく。 |
| 術前 | 術後 | |
|---|---|---|
![]() |
術後 | ![]() |
| 年齢・性別 | 47歳・男性 |
|---|---|
| 主訴 | 前歯のたばこのヤニが気になる |
| 治療期間 | 1日 |
| 治療内容 | 粒子の粗いペーストを用いてブラシで除去。 細かい部分は超音波で除去。 |
| 治療費用 | 保険内で約4,050円 (2023年5月現在) |
| リスク・副作用 | 一時的に知覚過敏が起きることがある。 再付着してしまう。 |
| 治療方針 | 喫煙習慣を見直してもらう。 再付着防止のために粒子の細かい歯磨き粉の使用を検討してもらう。 |
| 特記事項 | 喫煙すると再びヤニが付着する。 |
| 担当者所見 | 喫煙習慣を見直しできれば禁煙が望ましいがすぐにはできないため、期間短めでクリーニングを行い審美的にモチベ―ションを上げていく。綺麗な状態を継続していく。 |
| 術前 | 術後 | |
|---|---|---|
![]() |
術後 | ![]() |
| 年齢・性別 | 46歳・女性 |
|---|---|
| 主訴 | 1年振りの歯医者。歯石、着色が気になる。 |
| 治療期間 | 1回:60分 |
| 治療内容 | 全顎スケーリング PMTC |
| 治療費用 | 約4,300円 ※保険診療:3割負担 ※検査代込み (2023年5月現在) |
| リスク・副作用 | 歯肉が退縮している箇所があるのでしみやすくなる可能性がある。 着色は1度落としてもまた着いてくる。歯ブラシでは落とせない。 |
| 治療方針 | 今後は定期的に検診でクリーニングを行った。 |
| 特記事項 | コーヒーをよく飲まれるそうで、着色を気にされていた。 特に前歯の裏側に目立ってステインが付着していた。 コーヒーを飲んだあとは水を飲んだりうがいをしていただくと多少ステインが付きにくくなることをお伝えした。 |
| 担当者所見 | 定期的に汚れを落とし、歯の表面がツルツルな状態を保つことでステインも付着しにくくなるので、定期的なクリーニングをおすすめした。 |
| 術前 | 術後 | |
|---|---|---|
![]() |
術後 | ![]() |
| 年齢・性別 | 47歳・男性 |
|---|---|
| 主訴 | 右下1番、左下1番 |
| 治療期間 | 1日 |
| 治療内容 | スケーリングを行った。 |
| 治療費用 | スケーリング 約4,050円(保険診療3割負担) (2023年5月現在) |
| リスク・副作用 | 歯石で覆われていたところが一時的に冷たいものでしみる可能性がある。 |
| 治療方針 | 再付着防止で歯ブラシの当て方やフロスの通し方の練習を行った。 歯にざらつきが残っていると再付着しやすいためトリートメントペーストで仕上げ磨きを行った。 |
| 特記事項 | 特になし |
| 担当者所見 | 歯列不生でプラークが溜まりやすく歯石が付きやすい。 患者さまにもどうしてつきやすいのかを説明し理解してもらいセルフケアの重要性をお伝えした。 |
| 術前 | 術後 | |
|---|---|---|
![]() |
術後 | ![]() |
| 年齢・性別 | 54歳・男性 |
|---|---|
| 主訴・治療部位 | 下顎の前歯の歯石が気になる 右下3番~左下3番 |
| 治療期間 | 1日 |
| 治療内容 | 右下3番~左下3番のスケーリング(歯石除去)、PMTC |
| 治療費用 | スケーリング:約4,050円(保険診療3割負担) (2023年5月現在) |
| リスク・副作用 | ・歯面が露出することにより一時的に歯がしみることがある。 ・歯が伸びたように感じる。 ・歯と歯の間に隙間が生じて空気が漏れることがある。 |
| 治療方針 | 今回は下顎前歯のみスケーリング(歯石除去)を行いましたが、全顎的にも歯石や着色があるのでクリーニングを続けていきます。また、TBI(歯磨き指導)を行ない、磨き残しを減らしていくようご指導させていただきます。 |
| 特記事項 | 20年ぶりの歯科医院とのこと。PCR(口腔内清掃状態を示す指数)の値は低いが、前歯部が部分的に重なっていてプラークが溜まりやすいので今後はフロスの方法をお伝えしていきます。 |
| 担当者所見 | この患者様は左下1番が唇側に傾斜しているため、プラークを落としにくく、その他の部位に比べ歯石が溜まっています。何度かTBI(歯磨き指導)やクリーニングを重ねて歯石が溜まりにくい口腔内にしていきます。 |
| 術前 | 術後 | |
|---|---|---|
![]() |
術後 | ![]() |
![]() |
術後 | ![]() |
| 年齢・性別 | 45歳・男性 |
|---|---|
| 主訴・治療部位 | 前歯の歯石と着色除去。 前歯の裏側がざらつくので滑らかにしてほしい。 |
| 治療期間 | 1日 |
| 治療内容 | クリーニング(スケーリング・PMTC) |
| 治療費用 | スケーリング・PMTC:約3,000円 (2022年7月現在) |
| リスク・副作用 | 着色は、また生活の中で付着してくるので定期的なクリーニングで綺麗に保っていくことを説明。 歯石を除去したので、一時的に知覚過敏を起こす可能性がある。 |
| 治療方針 | 引き続き定期的な検診とクリーニングをしていく。 |
| 担当者所見 |
デスクワークのお仕事をされており、コーヒーをよく飲むそう。 着色が付きやすい飲み物を飲むときは、時々お口を水でゆすいでもらうと多少着きにくくなることを伝えた。 また、前歯の裏側は歯石が溜まりやすい。磨き方を確認したところ、歯ブラシを横にしてブラッシングをしていた。 横だと毛先が歯の表面に当てにくいことを説明して歯ブラシを縦にしてもらい1本ずつ磨くように指導した。 |
| 術前 | 術後 | |
|---|---|---|
![]() |
術後 | ![]() |
| 年齢・性別 | 42歳・女性 |
|---|---|
| 治療部位 | 右上4番~左上4番、右下4番~左下4番 |
| 治療期間 | 1日 |
| 治療内容 | クリーニング(PMTC) |
| 治療費用 | クリーニング(PMTC):約4,050円 (保険診療3割負担) (2023年5月現在) |
| リスク・副作用 | 色の濃い飲み物や食べ物を摂取する頻度が高いと再付着し、また歯に色がついてしまう。 |
| 治療方針 | 色の濃い飲み物や食事に注意していただき、すぐに歯を磨くことやお水を飲むなどして着色防止をしていく必要がある。 歯磨き粉でも着色予防の物を普段から使用していただく。 |
| 担当者所見 | 着色が落ちたことで歯の色もトーンアップし白くきれいに見えるようになった。 今後は3ヶ月に一度クリーニングを行う予定だが再付着が気になる場合には期間を短くしていく。 歯自体の色も加齢とともに黄色くなっていくので、ホワイトニングも提案していきたい。 |
| 術前 | 術後 | |
|---|---|---|
![]() |
術後 | ![]() |
| 年齢・性別 | 40歳・女性 |
|---|---|
| 主訴と治療部位 | 歯頸部の黄色い着色が気になる |
| 治療期間 | 1日 |
| 治療内容 | 全顎SCとPMTC |
| 治療費用 | 約4,050円 (保険診療3割負担) (2022年6月現在) |
| リスク・副作用 | ・知覚過敏のある方はしみたり痛みを感じる可能性がある。 ・コーヒー、お茶、喫煙などで再度着色がつくので、定期的に歯科医院でのPMTCが必要。 |
| 治療方針 | 全顎的に歯頸部の黄色い着色が気になりました。 スケーリングで細かいところの着色は落とし、PMTCをして仕上げました。 |
| 特記事項 | ・PMTCは歯の表面の着色はある程度落とせるが、歯自体の色味を白くすることはできない。 ・歯自体の色味を白くしたい場合はホワイトニングを提案。 |
| 担当者所見 | この患者様は毎日コーヒーを飲むとのこと。コーヒーを飲んだ後は着色を防ぐために水を飲むか口を濯いでいただく。 また、ステイン除去効果のある歯磨き粉を使用していただく。 |
| 術前 | 術後 | |
|---|---|---|
![]() |
術後 | ![]() |
| 年齢・性別 | 24歳・男性 |
|---|---|
| 主訴と治療部位 | 定期検診希望 |
| 治療期間 | 1回60分 |
| 治療内容 | 定期検診(レントゲン撮影、歯周検査、虫歯の確認、磨き残しチェック、スケーリング、PMTC、フッ素塗布) |
| 治療費用 | 約5,260円 (保険診療3割負担) (2023年1月現在) |
| リスク・副作用 | スケーリング後出血しやすくなる。歯ぐきが腫れているが引き締まると歯が長く見えたり、しみやすくなる場合がある。 |
| 治療方針 | 虫歯の治療2ヵ所。治療が終わったらまた定期検診に通っていただき歯ブラシ指導を行う。 |
| 特記事項 | 今回の検診は半年ぶりだったので、3ヶ月ごとに通っていただくことを提案。 |
| 担当者所見 | 歯ブラシが上手に当てられていないためプラークコントロール不良がおこっている。 そのため、定期検診時に歯ブラシ指導が必要。汚れは自分自身だと見えにくいので染め出しを行なって見えやすくしてからブラッシングの練習を行う。 |
| 術前 | 術後 | |
|---|---|---|
![]() |
術後 | ![]() |
| 年齢・性別 | 70歳・男性 |
|---|---|
| 主訴と治療部位 | 下顎前歯に歯石が付きやすい、クリーニング希望 |
| 治療期間 | 1回60分 |
| 治療内容 | 全顎スケーリングとPMTC、セルフケアについて指導 |
| 治療費用 | 約3,300円 (2023年1月現在) |
| リスク・副作用 | 歯石を除去したことで、一時的に冷たいものがしみやすく感じる。 |
| 治療方針 | 下顎前歯の歯石が気になる、自宅では歯ブラシのみでケアしている。おすすめのケア方法はあるかご質問があった。 セルフケアでは前歯の隙間が大きいので歯間ブラシをおすすめした。 6ヶ月ぶりのクリーニングで来院されたので、定期的にクリーニングをしていく。 |
| 特記事項 | 今回の検診は半年ぶりだったので、3ヶ月ごとに通っていただくことを提案。 |
| 術前 | 術後 | |
|---|---|---|
![]() |
術後 | ![]() |
| 年齢・性別 | 58歳・男性 |
|---|---|
| 主訴と治療部位 | 下顎前歯の着色が気になる。 |
| 治療期間 | 1日 |
| 治療内容 | 超音波スケーラーとブラシコーンで除去し トリートメントペーストを用いて仕上げ研磨を行った。 |
| 治療費用 | 約2,000円(保険診療3割負担) (2024年6月現在) |
| リスク・副作用 | 下顎前歯が叢生ぎみなのでつきやすい。 またコーヒーなど飲まれると着色がついてくる。 |
| 治療方針 | 継続的な検診とクリーニング、歯ブラシや飲食生活指導。 |
| 担当者所見 | コーヒーをよく飲むとのことなので着色が付きやすい。叢生部分は歯ブラシを縦に当てていただく。 |
| 術前 | 術後 | |
|---|---|---|
![]() |
術後 | ![]() |
| 年齢・性別 | 55歳・女性 |
|---|---|
| 主訴と治療部位 | 着色が気になる。 |
| 治療期間 | 1日 |
| 治療内容 | 初診の検査(レントゲン以外)、ステイン除去 |
| 治療費用 | 約3,440円(保険診療3割負担) (2024年1月現在) |
| リスク・副作用 | 着色は1度落としてもまた着いてくる。歯ブラシでは落とせない。 色の濃い飲み物や食事に注意していただき、飲食後はすぐに歯を磨く、お水を飲むなどして着色防止をしていく必要がある。 歯磨き粉でも着色予防の物を普段から使用していただく。 |
| 治療方針 | 初診の検査(レントゲン以外)、超音波スケーラー、ブラシコーン、フロス、ラバーカップで着色を落とした。 |
| 特記事項 | PMTCは歯の表面の着色はある程度落とせるが、歯自体の色味を白くすることはできない。 歯自体の色味を白くしたい場合はホワイトニングを提案。 |
| 担当者所見 | 着色が落ちたことで歯の色もトーンアップし白くきれいに見えるようになった。 |
| 術前 | 術後 | |
|---|---|---|
![]() |
術後 | ![]() |
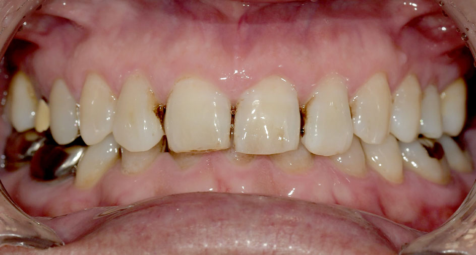
| 年齢・性別 | 54歳・男性 |
|---|---|
| 主訴と治療部位 | 約2年ぶりのご来院。定期検診希望。 |
| 治療期間 | 1日 |
| 治療内容 | パノラマ、歯式、口腔内写真、歯周病検査、 全顎スケーリング、フロス、 ポリッシング、フッ素塗布 |
| 治療費用 | 約4,640円(保険適用、3割負担) (2025年11月現在) |
| リスク・副作用 | 知覚過敏。着色は一度落としてもまたついてくる。 歯ブラシでは落とせない。 |
| 治療方針 | 定期的なクリーニングを受診していただくことをお勧めし、下顎前歯が舌側に傾斜していて磨き辛そうだったので歯ブラシ指導を行いました。 |
| 特記事項 | PMTCは歯の表面に着色を落とすことはできるが、歯自体の色を明るくすることはできない。これ以上白くしたい場合はホワイトニングを提案。 裏側もよく磨いていただく。 |
| 担当者所見 | 歯間の着色も落としたので、 全体的にきれいに見えるようになった。 |
| 術前 | 術後 | |
|---|---|---|
![]() |
術後 | ![]() |
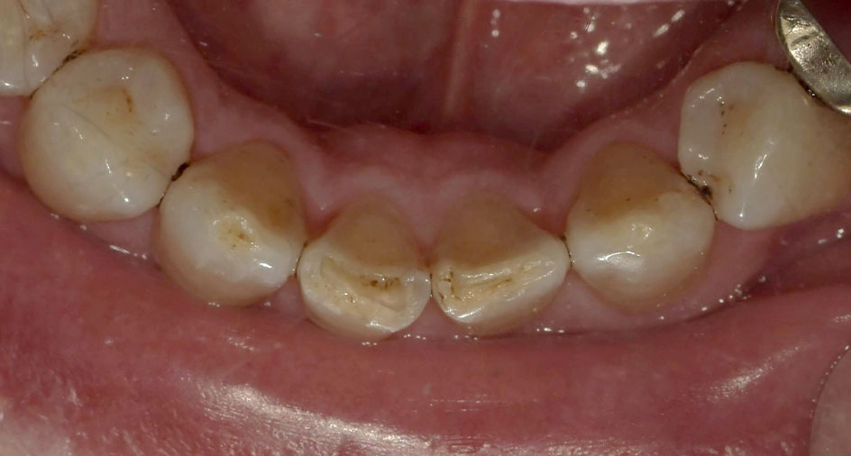
| 術前 | 術後 | |
|---|---|---|
![]() |
術後 | ![]() |